PAX7 (Rhabdomyosarcoma Marker) Antibody [SPM613]

In Stock
Catalog Number Formulation Size Price
5081-MSM2X-P0
Purified Ab with BSA and Azide at 200ug/ml
20ug
$259.00
5081-MSM2X-P1
Purified Ab with BSA and Azide at 200ug/ml
100ug
$559.00
5081-MSM2X-P1ABX
Purified Ab WITHOUT BSA and Azide at 1.0mg/ml
100ug
$559.00
Flat Rate Domestic: $95 | Orders outside the US - Contact Us for Order Information | Ships next business day

Applications & Dilutions

Applications Tested Dillution Protocol Note
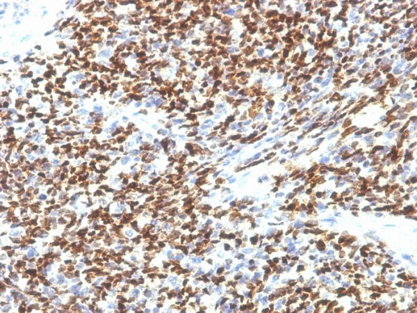
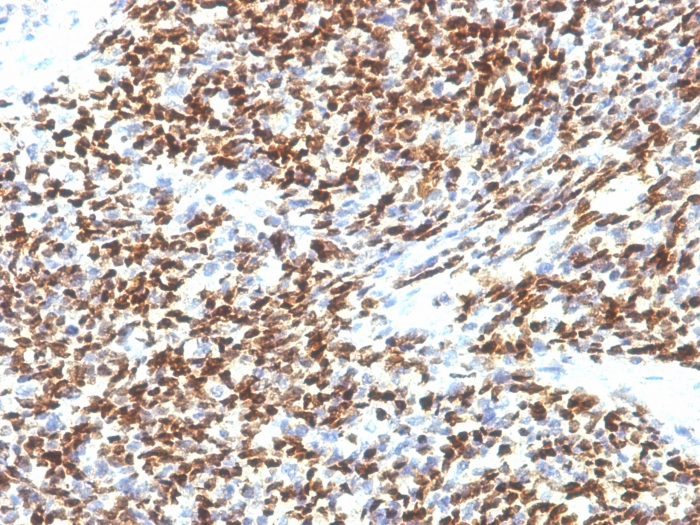
Immunohistochemistry (IHC)
1-2ug/ml
30 min at RT. Staining of formalin-fixed tissues requires heating tissue sections in 10mM Tris with 1mM EDTA, pH 9.0, for 45 min at 95°C followed by cooling at RT for 20 minutes

Summary

The Pax gene family of nuclear transcription factors is comprised of nine members that function during embryogenesis to regulate the temporal and position-dependent differentiation of cells. In addition, the family is involved in a variety of signal transduction pathways in the adult organism. Mutations in the Pax family of proteins have been linked to disease and cancer in humans. Pax-7 is a protein specifically expressed in cultured satellite cell-derived myoblasts. In situ hybridization reveals that Pax-7 is also expressed in satellite cells residing in adult muscle. A chromosomal aberration in the gene encoding Pax-7 causes rhabdomyosarcoma 2 (RMS2) (also called alveolar rhabdomyosarcoma).

Product Properties & Targets

Antibody Type
Host
Mouse
Applications
Species Reactivity
Isotype / Light Chain
IgG1 / Kappa
Cellular Localization
Nucleus
Gene Name
Positive Control
Rhabdomyosarcoma (RMS) or Testicular Carcinoma.
Immunogen
Recombinant fragment (aa301-505) of human PAX7 protein (exact sequence is proprietary)
Alternate Names
Paired box protein Pax-7, HuP1, HUP1; Paired box gene 7; Paired box homeotic gene 7; Paired domain gene HuP1; PAX7 transcriptional factor; PAX7/FKHR fusion gene; PAX7B; RMS2

Database Links

Entrez Gene ID
SwissProt

Additional Information

Clone
SPM613
Chromosome Location
1p36.13
Mol. Weight of Antigen
57kDa

Functions

  • Transcription factor that is involved in the regulation of muscle stem cells proliferation, playing a role in myogenesis and muscle regeneration.

Key References

Storage & Stability

Antibody with azide - store at 2 to 8°C. Antibody without azide - store at -20 to -80°C. Antibody is stable for 24 months. Non-hazardous. No MSDS required.

Limitations

This antibody is available for research use only and is not approved for use in diagnosis.

Supplied as

200ug/ml of Ab Purified from Bioreactor Concentrate by Protein A/G. Prepared in 10mM PBS with 0.05% BSA & 0.05% azide. Also available WITHOUT BSA & azide at 1.0mg/ml.

Warranty

There are no warranties, expressed or implied, which extend beyond this description. Company is not liable for any personal injury or economic loss resulting from this product.

Reviews

There are no reviews yet.

Be the first to review “PAX7 (Rhabdomyosarcoma Marker) Antibody”

Your email address will not be published. Required fields are marked *

PARTNERSHIP OPPORTUNITIES

NeoBiotechnologies holds Exclusive rights to 10,000 recombinant and hybridoma antibody products, available for Licensing or Collaboration.

LETS TALK