
Formalin-fixed, paraffin-embedded human Colon Carcinoma stained with p27 Mouse Monoclonal Antibody (SX53G8).

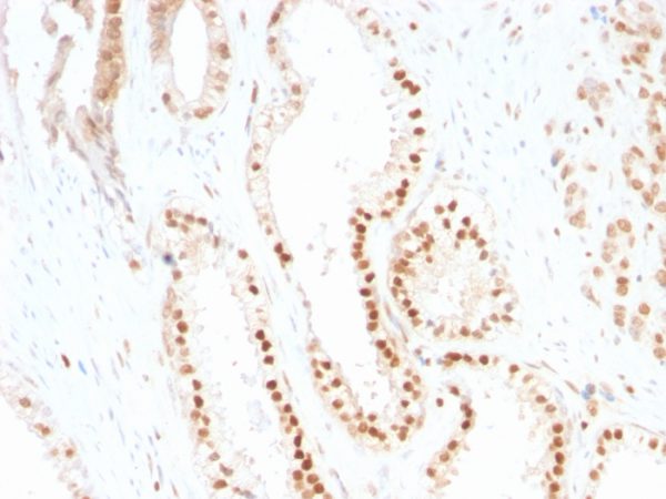
Formalin-fixed, paraffin-embedded human Prostate Carcinoma stained with p27 Mouse Monoclonal Antibody (SX53G8).

Flow Cytometry of human p27 on HeLa cells. Black: cells alone; Grey: Isotype Control; Green: AF488-labeled p27 Mouse Monoclonal Antibody (SX53G8).

Immunofluorescence Analysis of PFA-fixed MCF-7 cells labeling p27 with p27 Mouse Monoclonal Antibody (SX53G8) followed by Goat anti-Mouse IgG-CF488 (Green). Membrane is stained with Phalloidin-CF640

Flow Cytometric Analysis of PFA-fixed MCF-7 cells using p27 Mouse Monoclonal Antibody (SX53G8) followed by Goat anti- Mouse- IgG-CF488 (Blue); Isotype Control (Red).

SDS-PAGE Analysis of Purified p27 Mouse Monoclonal Antibody (SX53G8). Confirmation of purity and integrity.
This MAb recognizes a 27kDa protein, identified as the p27Kip1, a cell cycle regulatory mitotic inhibitor. It is highly specific and shows no cross-reaction with other related mitotic inhibitors. In Western blotting of cell lysates from 7 human breast cancer cell lines (ZR75-1, ZR75-30, MCF-7, MDAMB453, T47D, CAL51, 734B), the antibody labels a single band corresponding to p27Kip1. It functions as a negative regulator of G1 progression and has been proposed to function as a possible mediator of TGF- induced G1 arrest. p27Kip1 is a candidate tumor suppressor gene. Reportedly, low p27 expression has been associated with unfavorable prognosis in renal cell carcinoma, colon carcinoma, breast carcinomas, non-small-cell lung carcinoma, hepatocellular carcinoma, multiple myeloma, and lymph node metastases in papillary carcinoma of the thyroid, as well as a more aggressive phenotype in carcinoma of the cervix.
There are no reviews yet.