Recombinant CDKN2A / p16INK4a / p14ARF Antibody [CDKN2A/8196R]

In Stock
Catalog Number Formulation Size Price
1029-RBM15-P0
Purified Ab with BSA and Azide at 200ug/ml
20ug
$259.00
1029-RBM15-P1
Purified Ab with BSA and Azide at 200ug/ml
100ug
$559.00
1029-RBM15-P1ABX
Purified Ab WITHOUT BSA and Azide at 1.0mg/ml
100ug
$559.00
Flat Rate Domestic: $95 | Orders outside the US - Contact Us for Order Information | Ships next business day

Applications & Dilutions

Applications Tested Dillution Protocol Note
Immunohistochemistry (IHC)
1-2ug/ml
30 min at RT. Staining of formalin-fixed tissues requires heating tissue sections in 10mM Tris with 1mM EDTA, pH 9.0, for 45 min at 95°C followed by cooling at RT for 20 minutes

Summary

p16INK4a is a tumor suppressor protein. It is a specific inhibitor of cdk4/cdk6, and a tumor suppressor involved in the pathogenesis of a variety of malignancies. Recent analyses of the p16INK4a gene revealed homozygous deletions, nonsense, missense, or frameshift mutations in several human cancers. Although the frequency of p16INK4a abnormalities is higher in tumorâ � �derived cell lines than in unselected primary tumors, significant subsets of clinical cases with aberrant p16INK4a gene have been reported among melanomas, gliomas, esophageal, pancreatic, lung, and urinary bladder carcinomas, and some types of leukemia. Expression of p16INK4a (p16 positive) is highly correlated with human papilloma virus (HPV) infection in head and neck squamous cell carcinomas (HNSCC). p16 status is an important prognostic indicator in HNSCC and the p16 positive/HPV16 negative group is likely a distinct subgroup lacking any HPV genotype.

Product Properties & Targets

Host
Rabbit
Applications
Species Reactivity
Isotype / Light Chain
IgG / Kappa
Cellular Localization
Nucleus. Cytoplasm.
Gene Name
Positive Control
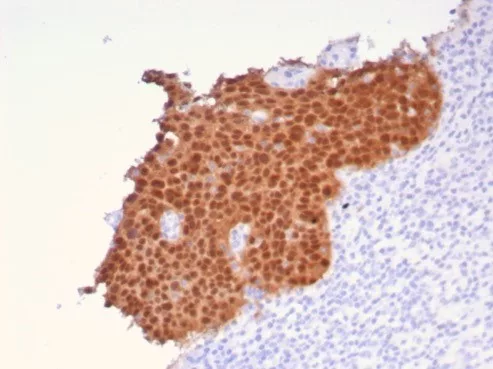
Human cervical squamous cell carcinoma.
Immunogen
Purified recombinant prokaryotic full-length human p16INK4a protein
Alternate Names
Cyclin-dependent kinase inhibitor 2A, Cyclin-dependent kinase 4 inhibitor A, Multiple tumor suppressor 1, p16-INK4a, CDK4 inhibitor p16 INK4; CDK4I; CDKN2A; Cell cycle negative regulator beta; CMM2; Cyclin dependent kinase 4 inhibitor A; Melanoma p16 inhibits CDK4; MLM; MTS1; Multiple tumor suppressor 1; p14; p16; p19; P19ARF; TP16

Database Links

Entrez Gene ID
SwissProt

Additional Information

Clone
CDKN2A/8196R
Chromosome Location
9p21.3
Mol. Weight of Antigen
14kDa

Functions

  • Acts as a negative regulator of the proliferation of normal cells by interacting strongly with CDK4 and CDK6. This inhibits their ability to interact with cyclins D and to phosphorylate the retinoblastoma protein.

Key References

  • Mahajan A. Hum Pathol. 2016;51:6474.
  • Hunter, T. 1993. Braking the cycle. Cell 75: 839-841.

PubMed Links

Storage & Stability

Antibody with azide - store at 2 to 8°C. Antibody without azide - store at -20 to -80°C. Antibody is stable for 24 months. Non-hazardous. No MSDS required.

Limitations

This antibody is available for research use only and is not approved for use in diagnosis.

Supplied as

200ug/ml of Ab purified from Bioreactor Concentrate by Protein A/G. Prepared in 10mM PBS with 0.05% BSA & 0.05% azide. Also available WITHOUT BSA & azide at 1.0mg/ml.

Warranty

There are no warranties, expressed or implied, which extend beyond this description. Company is not liable for any personal injury or economic loss resulting from this product.

Reviews

There are no reviews yet.

Be the first to review “Recombinant CDKN2A / p16INK4a / p14ARF Antibody”

Your email address will not be published. Required fields are marked *

PARTNERSHIP OPPORTUNITIES

NeoBiotechnologies holds Exclusive rights to 10,000 recombinant and hybridoma antibody products, available for Licensing or Collaboration.

LETS TALK