
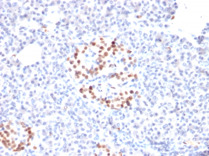
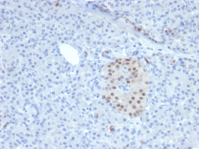
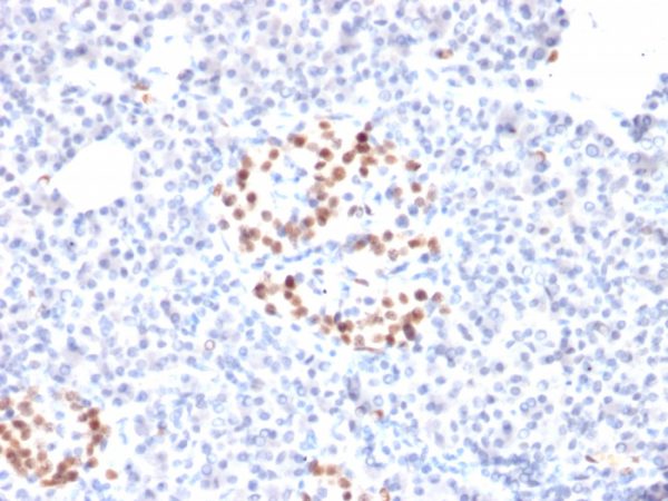
Formalin-fixed, paraffin-embedded human Pancreas stained with NKX6.1 Mouse Monoclonal Antibody (NKX61/2561).

Formalin-fixed, paraffin-embedded human Pancreas stained with NKX6.1 Mouse Monoclonal Antibody (NKX61/2561).

Analysis of Protein Array containing more than 19,000 full-length human proteins using NKX6.1 Mouse Monoclonal Antibody (NKX61/2561). Z- and S- Score: The Z-score represents the strength of a signal that a monoclonal antibody (MAb) (in combination with a fluorescently-tagged anti-IgG secondary antibody) produces when binding to a particular protein on the HuProtTM array. Z-scores are described in units of standard deviations (SD's) above the mean value of all signals generated on that array. If targets on HuProtTM are arranged in descending order of the Z-score, the S-score is the difference (also in units of SD's) between the Z-score. S-score therefore represents the relative target specificity of a MAb to its intended target. A MAb is considered to specific to its intended target, if the MAb has an S-score of at least 2.5. For example, if a MAb binds to protein X with a Z-score of 43 and to protein Y with a Z-score of 14, then the S-score for the binding of that MAb to protein X is equal to 29.
Members of the Nkx family of homeodomain proteins are key regulators of growth and development in several tissues, including brain, heart and pancreas. During neural development, sonic hedgehog (Shh) is known to control cell fate and mitogenesis, which is correlated with Shh dose-dependent expression of several genes, including Nkx-6.1. Specifically, Nkx-6.1 is responsible for cellular differentiation in the ventral neural tube and spinal meninges in response to Shh. In the pancreas, Nkx-6.1 is exclusively expressed in the islets of Langerhans in differentiating and mature B cells, which produce Insulin. The presence of Pdx-1 is required for the expression of Nkx-6.1 as well as other pancreatic B cell specific genes, including Insulin, Glut2 and IAPP. Subsequently, Nkx-6.1 binds to the DNA consensus sequence, TTAATTAC, to direct the repression of specific genes in B cells. Nkx6.1 is highly expressed in pancreatic and duodenal well-differentiated neuroendocrine tumors (WDNETS) and in metastatic WDNETS, is a highly specific marker of tumors of pancreatic origin. It has thus been suggested that Nkx6.1 is a useful inclusion into IHC panels for identifying primary sites of WDNETS.
There are no reviews yet.