
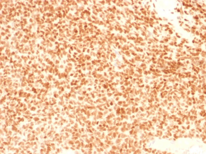
Formalin-fixed, paraffin-embedded human Ewing's Sarcoma stained with NKX2.2 Mouse Monoclonal Antibody (NX2/1524).

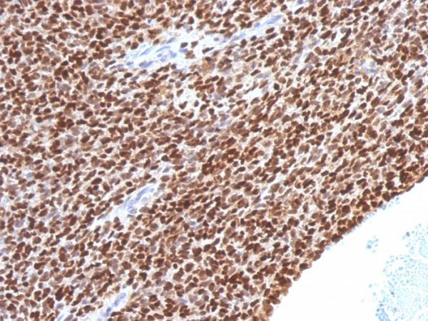
Formalin-fixed, paraffin-embedded human Ewing's Sarcoma stained with NKX2.2 Mouse Monoclonal Antibody (NX2/1524).

SDS-PAGE Analysis of Purified NKX2.2 Mouse Monoclonal Antibody (NX2/1524). Confirmation of Purity and Integrity of Antibody.

Analysis of Protein Array containing >19,000 full-length human proteins using NKX2.2 Mouse Monoclonal Antibody (NX2/1524) Z- and S- Score: The Z-score represents the strength of a signal that a monoclonal antibody (MAb) (in combination with a fluorescently-tagged anti-IgG secondary antibody) produces when binding to a particular protein on the HuProtTM array. Z-scores are described in units of standard deviations (SD's) above the mean value of all signals generated on that array. If targets on HuProtTM are arranged in descending order of the Z-score, the S-score is the difference (also in units of SD's) between the Z-score. S-score therefore represents the relative target specificity of a MAb to its intended target. A MAb is considered to specific to its intended target, if the MAb has an S-score of at least 2.5. For example, if a MAb binds to protein X with a Z-score of 43 and to protein Y with a Z-score of 14, then the S-score for the binding of that MAb to protein X is equal to 29.
Expression of NKX2.2 has been found in neuroendocrine tumors of the gut, making it a potential marker for the study of gastrointestinal neuroendocrine tumors. More recently, NKX2.2 protein was identified as a target of EWS-FLI-1, the fusion protein specific to Ewing sarcoma, and was shown to be differentially upregulated in Ewing sarcoma on the basis of array-based gene expression analysis. It acts as a valuable marker for Ewing sarcoma, with a sensitivity of 93% and a specificity of 89%, and aids in the differential diagnosis of small round cell tumors.
There are no reviews yet.