NGF-Receptor (p75) / CD271 (Soft Tissue Tumor Marker) Antibody [NTR/912]

In Stock
Catalog Number Formulation Size Price
4804-MSM2-P0
Purified Ab with BSA and Azide at 200ug/ml
20ug
$259.00
4804-MSM2-P1
Purified Ab with BSA and Azide at 200ug/ml
100ug
$559.00
4804-MSM2-P1ABX
Purified Ab WITHOUT BSA and Azide at 1.0mg/ml
100ug
$559.00
Flat Rate Domestic: $95 | Orders outside the US - Contact Us for Order Information | Ships next business day

Applications & Dilutions

Applications Tested Dillution Protocol Note
Flow Cytometry (Flow)
1-2ug/million cells
Immunofluorescence (IF)
1-3ug/ml
Immunohistochemistry (IHC)
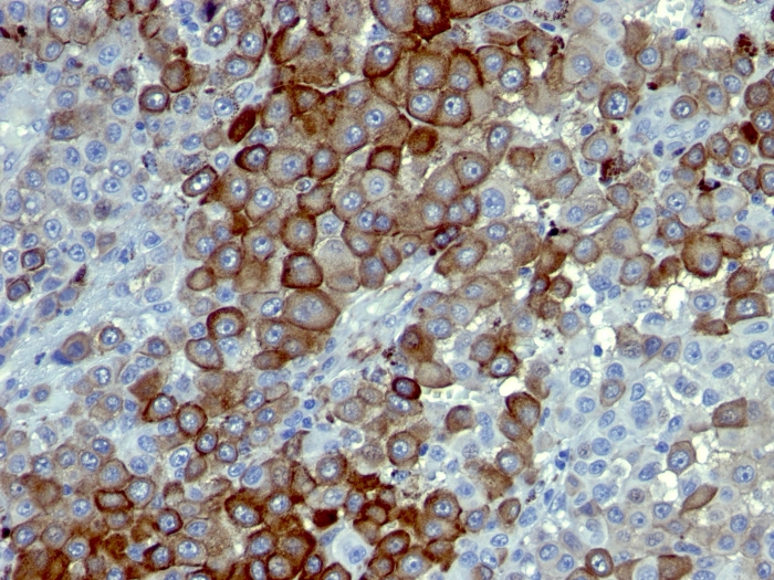
1-2ug/ml
30 min at RT. Staining of formalin-fixed tissues requires heating tissue sections in 10mM Tris with 1mM EDTA, pH 9.0, for 45 min at 95°C followed by cooling at RT for 20 minutes

Summary

It recognizes a glycoprotein of 75kDa, identified as low affinity Nerve Growth Factor (NGF) Receptor (p75NGFR) or Neurotrophin Receptor (p75NTR). NGFR is expressed in various neural crest cells and their tumors such as melanocytes, melanomas, neuroblastomas, pheochromocytomas and neurofibromas. Reportedly, anti-NGFR is a reliable marker for desmoplastic and neurotropic melanomas. NGFR is expressed in mature non-neural cells such as perivascular cells, dental pulp cells, lymphoidal follicular dendritic cells, basal epithelium of oral mucosa and hair follicles, prostate basal cells, and myoepithelial cells. Anti-NGFR stains the myoepithelial cells of breast ducts and intra-lobular fibroblasts of breast ducts.

Product Properties & Targets

Antibody Type
Host
Mouse
Species Reactivity
Isotype / Light Chain
IgG1 / Kappa
Cellular Localization
Cell membrane, Cell projection, Dendritic spine, Growth cone, Perikaryon
Gene Name
Positive Control
Neurofibroma. Soma and axons of sensory neurons and ganglionic satellite cells. Melanomas., Neuronal axons, Schwann cells and perineural cells of peripheral nerves or tumors of nerve sheath differentiation e. G. Schwannoma
Immunogen
Recombinant human p75 NGFR protein
Alternate Names
Tumor necrosis factor receptor superfamily member 16, Gp80-LNGFR, Low affinity neurotrophin receptor p75NTR, Low-affinity nerve growth factor receptor, p75 ICD, CD271; Gp80-LNGFR; Low affinity nerve growth factor receptor; Low affinity neurotrophin receptor p75NTR; Nerve growth factor receptor (NGFR); p75 ICD; p75 Neurotrophin receptor; Tumor necrosis factor receptor superfamily member 16 (TNFRSF16)

Database Links

Entrez Gene ID
SwissProt

Additional Information

Clone
NTR/912
Chromosome Location
17q21-22
Mol. Weight of Antigen
75kDa

Functions

  • Low affinity receptor which can bind to NGF, BDNF, NTF3, and NTF4. Forms a heterodimeric receptor with SORCS2 that binds the precursor forms of NGF, BDNF and NTF3 with high affinity, and has much lower affinity for mature NGF and BDNF (PubMed:24908487). Plays an important role in differentiation and survival of specific neuronal populations during development (By similarity). Can mediate cell survival as well as cell death of neural cells. Plays a role in the inactivation of RHOA (PubMed:26646181). Plays a role in the regulation of the translocation of GLUT4 to the cell surface in adipocytes and skeletal muscle cells in response to insulin, probably by regulating RAB31 activity, and thereby contributes to the regulation of insulin-dependent glucose uptake (By similarity). Necessary for the circadian oscillation of the clock genes ARNTL/BMAL1, PER1, PER2 and NR1D1 in the suprachiasmatic nucleus (SCmgetaN) of the brain and in liver and of the genes involved in glucose and lipid metabolism in the liver (PubMed:23785138).

Key References

  • Soland, T.M., et al. 2008. Nerve growth factor receptor (p75NTR) and pattern of invasion predict poor prognosis in oral squamous cell carcinoma. Histopathology 53: 62-72.
  • Wang, W., et al. 2009. Patterns of expression and function of the p75NGFR protein in pancreatic cancer cells and tumours. Eur. J. Surg. Oncol. 35: 826-832.

Storage & Stability

Antibody with azide - store at 2 to 8°C. Antibody without azide - store at -20 to -80°C. Antibody is stable for 24 months. Non-hazardous. No MSDS required.

Limitations

This antibody is available for research use only and is not approved for use in diagnosis.

Supplied as

200ug/ml of Ab Purified from Bioreactor Concentrate by Protein A/G. Prepared in 10mM PBS with 0.05% BSA & 0.05% azide. Also available WITHOUT BSA & azide at 1.0mg/ml.

Warranty

There are no warranties, expressed or implied, which extend beyond this description. Company is not liable for any personal injury or economic loss resulting from this product.

Reviews

There are no reviews yet.

Be the first to review “NGF-Receptor (p75) / CD271 (Soft Tissue Tumor Marker) Antibody”

Your email address will not be published. Required fields are marked *

PARTNERSHIP OPPORTUNITIES

NeoBiotechnologies holds Exclusive rights to 10,000 recombinant and hybridoma antibody products, available for Licensing or Collaboration.

LETS TALK