
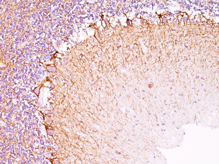
Formalin-fixed, paraffin-embedded human Cerebellum stained with Neurofilament Mouse Monoclonal Antibody (NR-4).

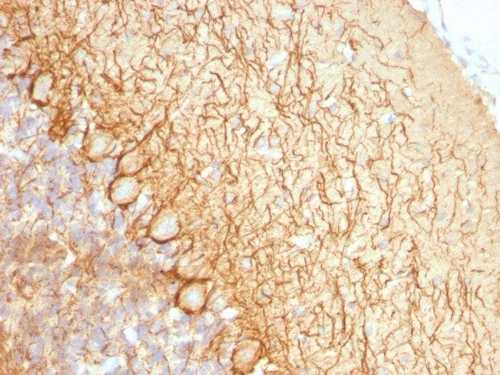
Formalin-fixed, paraffin-embedded Rat Cerebellum stained with Neurofilament Mouse Monoclonal Antibody (NR-4).

SDS-PAGE Analysis Purified Neurofilament Mouse Monoclonal Antibody (NR-4). Confirmation of Integrity and Purity of Antibody

Flow Cytometric Analysis of HEK293 cells using Neurofilament Mouse Monoclonal Antibody (NR-4) followed by goat anti-Mouse IgG-CF488 (Blue); Isotype control (Red).
This MAb reacts with a 68kDa protein, identified as light sub-unit of neurofilaments (NF-L). Neurofilaments make up the main structural elements of axons and dendrites and are found in neurons, peripheral nerves, and sympathetic ganglion cells. Neurofilaments consist of three major subunits with molecular weights of 68kDa (NF-L), 160kDa (NF-M) and 200kDa (NF-H). Anti-neurofilament stains a number of neural, neuroendocrine, and endocrine tumors. Neuromas, ganglioneuromas, gangliogliomas, ganglioneuroblastomas, and neuroblastomas stain positively for anti-neurofilament. Neurofilaments are also present in paragangliomas as well as adrenal and extra-adrenal pheochromocytomas. Carcinoids, neuroendocrine carcinomas of the skin, and oat cell carcinomas of the lung also express neurofilament.
There are no reviews yet.