
SDS-PAGE Analysis of Purified NECAB1 Mouse Monoclonal Antibody (NECAB1/7680). Confirmation of Purity and Integrity of Antibody.

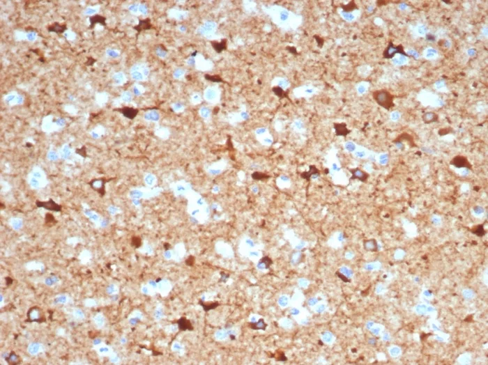
Formalin-fixed, paraffin-embedded human brain stained with NECAB1 Mouse Monoclonal Antibody (NECAB1/7680). Inset: PBS instead of primary antibody; secondary only negative control.
Members of the EF-CBP (N-terminal EF-hand calcium binding protein)/NECAB (neuronal calcium-binding protein) family participate in neuronal calcium signaling. EF-CBP1 (N-terminal EF-hand calcium binding protein 1), also known as STIP-1 or neuronal calcium-binding protein 1 (NECAB1), is a 351 amino acid cytoplasmic protein that contains one antibiotic biosynthesis monooxygenase (ABM) domain and 2 EF-hand domains. Expressed in brain, EF-CBP1 interacts with copine 6 and Syntaxin, and exists as two alternatively spliced isoforms. The gene encoding EF-CBP1 maps to human chromosome 8, which consists of nearly 146 million base pairs, encodes over 800 genes and is associated with a variety of diseases and malignancies. Schizophrenia, bipolar disorder, Trisomy 8, Pfeiffer syndrome, congenital hypothyroidism, Waardenburg syndrome and some leukemias and lymphomas are thought to occur as a result of defects in specific genes that map to chromosome 8.
There are no reviews yet.