
Formalin-fixed, paraffin-embedded human Gastric Carcinoma stained with MUC4 Mouse Monoclonal Antibody (MUC4/3084).

Formalin-fixed, paraffin-embedded human Colon Carcinoma stained with MUC4 Mouse Monoclonal Antibody (MUC4/3084).

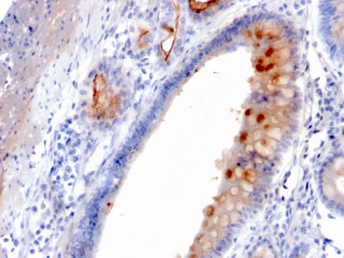
Formalin-fixed, paraffin-embedded human Gastric Carcinoma stained with MUC4 Mouse Monoclonal Antibody (MUC4/3084).

SDS-PAGE Analysis Purified MUC4 Mouse Monoclonal Antibody (MUC4/3084). Confirmation of Purity and Integrity of Antibody

Analysis of Protein Array containing more than 19,000 full-length human proteins using MUC4 Mouse Monoclonal Antibody (MUC4/3084) Z- and S- Score: The Z-score represents the strength of a signal that a monoclonal antibody (MAb) (in combination with a fluorescently-tagged anti-IgG secondary antibody) produces when binding to a particular protein on the HuProtTM array. Z-scores are described in units of standard deviations (SD's) above the mean value of all signals generated on that array. If targets on HuProtTM are arranged in descending order of the Z-score, the S-score is the difference (also in units of SD's) between the Z-score. S-score therefore represents the relative target specificity of a MAb to its intended target. A MAb is considered to specific to its intended target, if the MAb has an S-score of at least 2.5. For example, if a MAb binds to protein X with a Z-score of 43 and to protein Y with a Z-score of 14, then the S-score for the binding of that MAb to protein X is equal to 29.
The major constituents of mucus, the viscous secretion that covers epithelial surfaces such as those in the trachea, colon, and cervix, are highly glycosylated proteins called mucins. These glycoproteins play important roles in the protection of the epithelial cells and have been implicated in epithelial renewal and differentiation. This gene encodes an integral membrane glycoprotein found on the cell surface, although secreted isoforms may exist. MUC-4 transcripts have been detected in normal respiratory epithelium and lung. MUC-4 is a very specific (100%) and sensitive (90%) marker of lung adenocarcinomas and is negative for mesotheliomas. Reportedly, MUC-4 expression in invasive ductal carcinoma of the pancreas is an independent factor for poor prognosis.
There are no reviews yet.