
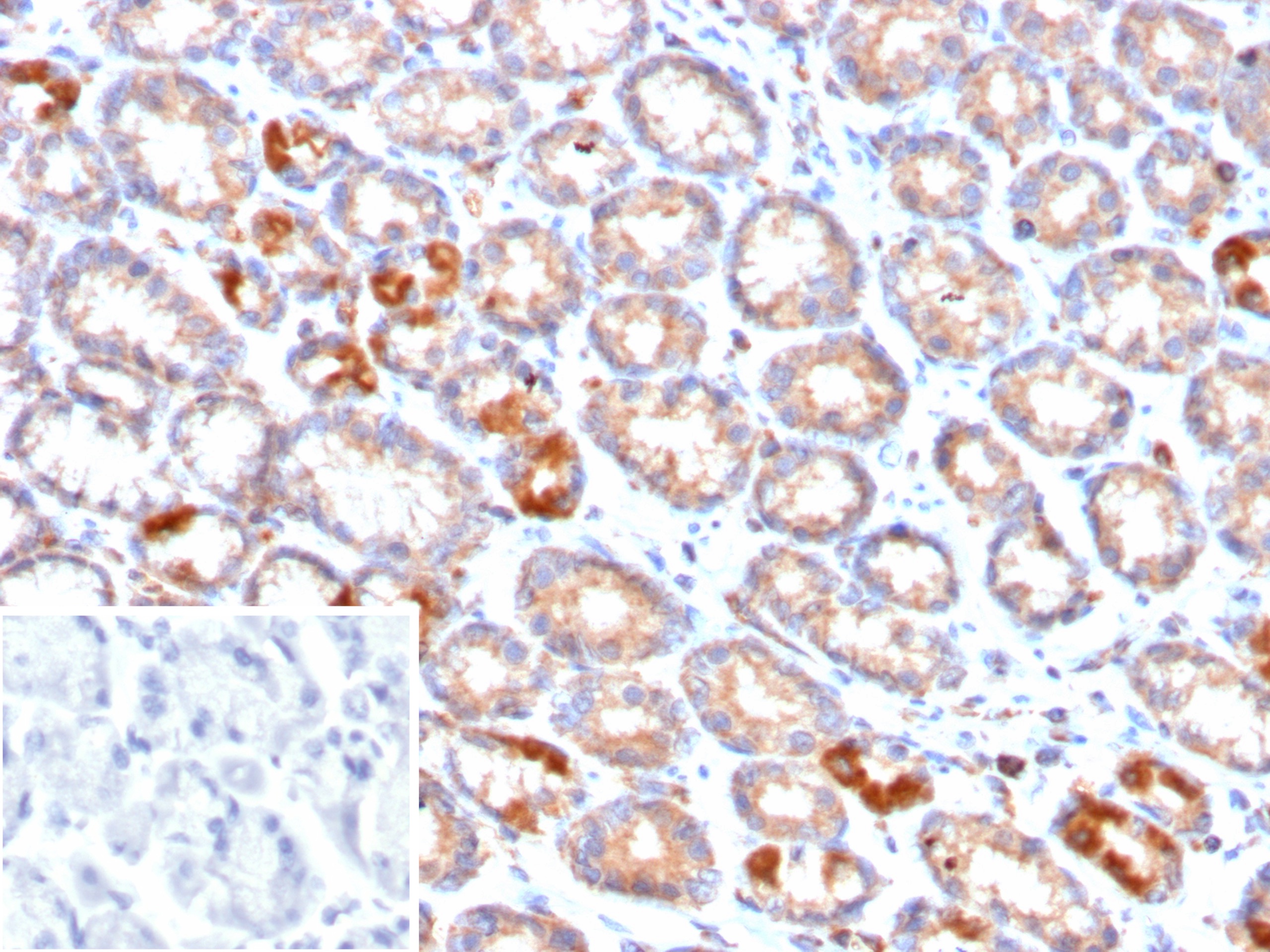
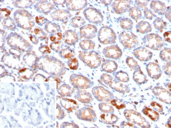
Formalin-fixed, paraffin-embedded human stomach stained with Mucin 4 Mouse Monoclonal Antibody (MUC4/2863). Inset: PBS instead of primary antibody; secondary only negative control.

SDS-PAGE Analysis of Purified Mucin 4 Mouse Monoclonal Antibody (MUC4/2863). Confirmation of Purity and Integrity of Antibody.

Analysis of Protein Array containing more than 19,000 full-length human proteins using Mucin 4 Mouse Monoclonal Antibody (MUC4/2863). Z- and S- Score: The Z-score represents the strength of a signal that a monoclonal antibody (MAb) (in combination with a fluorescently-tagged anti-IgG secondary antibody) produces when binding to a particular protein on the HuProtTM array. Z-scores are described in units of standard deviations (SD's) above the mean value of all signals generated on that array. If targets on HuProtTM are arranged in descending order of the Z-score, the S-score is the difference (also in units of SD's) between the Z-score. S-score therefore represents the relative target specificity of a MAb to its intended target. A MAb is considered to specific to its intended target, if the MAb has an S-score of at least 2.5. For example, if a MAb binds to protein X with a Z-score of 43 and to protein Y with a Z-score of 14, then the S-score for the binding of that MAb to protein X is equal to 29.
The major constituents of mucus, the viscous secretion that covers epithelial surfaces such as those in the trachea, colon, and cervix, are highly glycosylated proteins called mucins. These glycoproteins play important roles in the protection of the epithelial cells and have been implicated in epithelial renewal and differentiation. This gene encodes an integral membrane glycoprotein found on the cell surface, although secreted isoforms may exist. MUC-4 transcripts have been detected in normal respiratory epithelium and lung. MUC-4 is a very specific (100%) and sensitive (90%) marker of lung adenocarcinomas and is negative for mesotheliomas. Reportedly, MUC-4 expression in invasive ductal carcinoma of the pancreas is an independent factor for poor prognosis.
There are no reviews yet.