
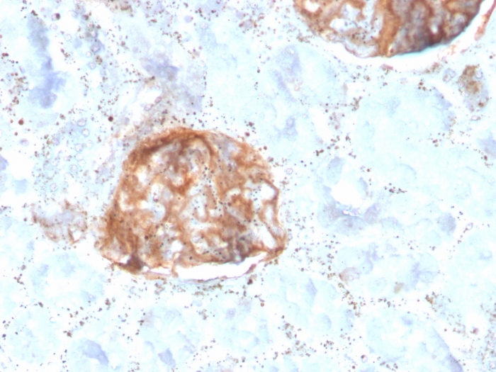
Formalin-fixed, paraffin-embedded human Kidney stained with MTAP Recombinant Mouse Monoclonal Antibody (rMTAP/1813).

Formalin-fixed, paraffin-embedded human Kidney stained with MTAP Recombinant Mouse Monoclonal Antibody (rMTAP/1813).

SDS-PAGE Analysis of Purified MTAP Recombinant Mouse Monoclonal Antibody (rMTAP/1813). Confirmation of Purity and Integrity of Antibody.
Recognizes a protein of 31kDa, which is identified as MTAP (5′-deoxy-5′-methylthioadenosine phosphorylase). It catalyzes the reversible phosphorolysis of methylthioadenosine, which is important in polyamine metabolism and for the salvage of adenine and methionine. The gene encoding MTAP is linked to the tumor suppressor gene, p16INK4A. Deficient levels of MTAP can occur in cancers primarily through co-deletion of the MTAP gene and the p16INK4A gene. Cells expressing MTAP and possessing adenine salvage pathway activity may be less susceptible to malignancy due to growth-inhibitory actions of agents (e.g. antifolates), whose mechanism of action, in part, involves this de novo purine pathway.
There are no reviews yet.