MR1 / Major histocompatibility complex, class I-related Antibody [MR1/7579]

In Stock
Catalog Number Formulation Size Price
3140-MSM3-P0
Purified Ab with BSA and Azide at 200ug/ml
20ug
$259.00
3140-MSM3-P1
Purified Ab with BSA and Azide at 200ug/ml
100ug
$559.00
3140-MSM3-P1ABX
Purified Ab WITHOUT BSA and Azide at 1.0mg/ml
100ug
$559.00
Flat Rate Domestic: $95 | Orders outside the US - Contact Us for Order Information | Ships next business day

Applications & Dilutions

Applications Tested Dillution Protocol Note
Immunohistochemistry (IHC)
1-2ug/ml
30 min at RT. Staining of formalin-fixed tissues requires heating tissue sections in 10mM Tris with 1mM EDTA, pH 9.0, for 45 min at 95°C followed by cooling at RT for 20 minutes

Summary

MR1 (major histocompatibility complex, class I-related), also known as HLALS, is a 341 amino acid single-pass membrane protein that localizes to the endoplasmic reticulum, as well as to the extracellular side of the cell membrane, and contains one Ig-like C1-type domain. Expressed ubiquitously, MR1 exists as a heterodimer with b-2-Microglobulin and plays an important role in antigen presentation, specifically in the development and expansion of mucosalassociated invariant T cells (MAITs). MAITs are located in the gut and are involved in monitoring flora levels, as well as in conveying distress signals to other areas of the body, indicating a role for MR1 in proper digestion and immune system function. MR1 exists as four alternatively spliced isoforms and is encoded by a gene which maps to human chromosome 1.

Product Properties & Targets

Antibody Type
Host
Mouse
Applications
Species Reactivity
Isotype / Light Chain
IgG2 / Kappa
Cellular Localization
Secreted. Cell membrane.
Gene Name
MR1
Positive Control
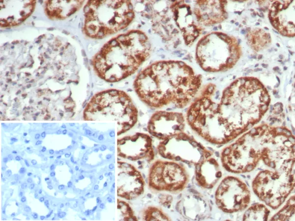
Human kidney|placenta or tonsil.
Immunogen
Recombinant fragment (around aa50-250) of human MR1 protein (exact sequence is proprietary)
Alternate Names
Major histocompatibility complex class I-related gene protein, Class I histocompatibility antigen-like protein, Class I histocompatibility antigen like protein; HLALS; Major histocompatibility complex class I like sequence; Major histocompatibility complex class I related isoform CRA a; MHC class I related gene protein; MHC class I related protein 1 isoform B; MR1B; MR1C

Database Links

Entrez Gene ID
SwissProt

Additional Information

Clone
MR1/7579
Chromosome Location
1q25.3
Mol. Weight of Antigen
39kDa

Functions

  • Antigen-presenting molecule specialized in displaying microbial pyrimidine-based metabolites to alpha-beta T cell receptors (TCR) on innate-type mucosal-associated invariant T (MAIT) cells (PubMed:23051753, PubMed:26795251, PubMed:12794138, PubMed:19416870, PubMed:22692454, PubMed:23846752). In complex with B2M preferentially presents riboflavin-derived metabolites to semi-invariant TRAV1-2 TCRs on MAIT cells, guiding immune surveillance of the microbial metabolome at mucosal epithelial barriers (PubMed:26795251, PubMed:24695216, PubMed:20581831). Signature pyrimidine-based microbial antigens are generated via non-enzymatic condensation of metabolite intermediates of the riboflavin pathway with by-products arising from other metabolic pathways such as glycolysis. Typical potent antigenic metabolites are 5-(2-oxoethylideneamino)-6-D-ribitylaminouracil (5-OE-RU) and 5-(2-oxopropylideneamino)-6-D-ribitylaminouracil (5-OP-RU), products of condensation of 5-amino-6-D-ribityaminouracil (5-A-RU) with glyoxal or methylglyoxal by-products, respectively (PubMed:24695216). May present microbial antigens to various TRAV1-2-negative MAIT cell subsets, providing for unique recognition of diverse microbes, including pathogens that do not synthesize riboflavin (PubMed:27527800, PubMed:31113973). Upon antigen recognition, elicits rapid innate-type MAIT cell activation to eliminate pathogenic microbes by directly killing infected cells (PubMed:24695216, PubMed:27527800, PubMed:23846752). During T cell development, drives thymic selection and post-thymic terminal differentiation of MAIT cells in a process dependent on commensal microflora (By similarity). Acts as an immune sensor of cancer cell metabolome (PubMed:31959982). May present a tumor-specific or -associated metabolite essential for cancer cell survival to a pan-cancer TCR consisting of TRAV38.2-DV8*TRAJ31 alpha chain paired with a TRBV25.1*TRBJ2.3 beta chain on a non-MAIT CD8-positive T cell clone (MC.7.G5), triggering T cell-mediated killing of a wide range of cancer cell types (PubMed:31959982).

Key References

  • Hashimoto, K., et al. 1995. A gene outside the human MHC related to classical HLA class I genes. Science 269: 693-695
  • 4

Storage & Stability

Antibody with azide - store at 2 to 8°C. Antibody without azide - store at -20 to -80°C.Antibody is stable for 24 months. Non-hazardous. No MSDS required.

Limitations

This antibody is available for research use only and is not approved for use in diagnosis.

Supplied as

200ug/ml of Ab purified from Bioreactor Concentrate by Protein A/G. Prepared in 10mM PBS with 0.05% BSA & 0.05% azide. Also available WITHOUT BSA & azide at 1.0mg/ml.

Warranty

There are no warranties, expressed or implied, which extend beyond this description. Company is not liable for any personal injury or economic loss resulting from this product.

Reviews

There are no reviews yet.

Be the first to review “MR1 / Major histocompatibility complex, class I-related Antibody”

Your email address will not be published. Required fields are marked *

PARTNERSHIP OPPORTUNITIES

NeoBiotechnologies holds Exclusive rights to 10,000 recombinant and hybridoma antibody products, available for Licensing or Collaboration.

LETS TALK