
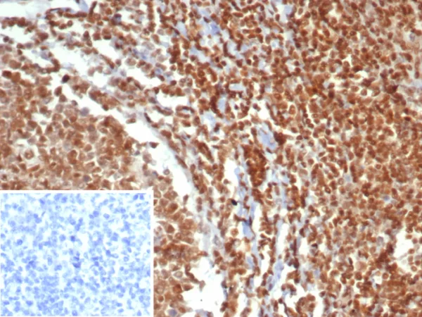
Formalin-fixed, paraffin-embedded human testis stained with MGMT Mouse Monoclonal Antibody (MGMT/7454). Inset: PBS instead of primary antibody; secondary only negative control.

Formalin-fixed, paraffin-embedded human salivary gland stained with MGMT Mouse Monoclonal Antibody (MGMT/7454). HIER: Tris/EDTA, pH9.0, 45min. 2°C: HRP-polymer, 30min. DAB, 5min.

SDS-PAGE Analysis of Purified MGMT Mouse Monoclonal Antibody (MGMT/7454). Confirmation of Purity and Integrity of Antibody.

Western Blot Analysis of MCF-7, LNCaP, Hep G2 and human liver lysates using MGMT Mouse Monoclonal Antibody (MGMT/7454).

Western blot analysis of Human Liver, Mouse Liver, Rat Liver, Hamster Liver, Guinea pig Liver, Human Pancreas, Mouse Pancreas, Rat Pancreas, Hamster Pancreas, Guinea pig Pancreas, Human skeletal muscle, Mouse skeletal muscle, Rat skeletal muscle, Hamster skeletal muscle and Guinea pig skeletal muscle lysates using MGMT Mouse Monoclonal Antibody (MGMT/7454).
Cancer chemotherapeutic alkylating agents (e.g. BCNU,) act by inducing formation of lethal cross �links at the O6 � alkylguanine position in DNA. MGMT transfers alkyl adducts from the O6 �position of guanine in DNA (prior to cross �link formation) to a cysteine residue in its own sequence, thereby restoring DNA to its intact state. This transfer inactivates the MGMT enzyme and is irreversible; hence the level of MGMT in a cell is directly proportional to the level of DNA �damage it can tolerate. In normal tissues, MGMT acts as a suppressor of mutation and carcinogenesis. Tumors with high levels of MGMT are likely to be drug resistant
There are no reviews yet.