
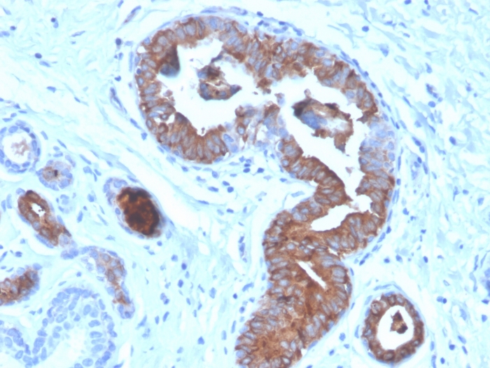
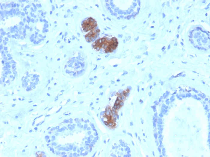
Formalin-fixed, paraffin-embedded human breast carcinoma stained with Mammaglobin Mouse Monoclonal Antibody (MGB/4056).

Formalin-fixed, paraffin-embedded human breast carcinoma stained with Mammaglobin Mouse Monoclonal Antibody (MGB/4056).

Analysis of Protein Array containing more than 19,000 full-length human proteins using Mammaglobin Mouse Monoclonal Antibody (MGB/4056). Z- and S- Score: The Z-score represents the strength of a signal that a monoclonal antibody (MAb) (in combination with a fluorescently-tagged anti-IgG secondary antibody) produces when binding to a particular protein on the HuProtTM array. Z-scores are described in units of standard deviations (SD's) above the mean value of all signals generated on that array. If targets on HuProtTM are arranged in descending order of the Z-score, the S-score is the difference (also in units of SD's) between the Z-score. S-score therefore represents the relative target specificity of a MAb to its intended target. A MAb is considered to specific to its intended target, if the MAb has an S-score of at least 2.5. For example, if a MAb binds to protein X with a Z-score of 43 and to protein Y with a Z-score of 14, then the S-score for the binding of that MAb to protein X is equal to 29.
Mammaglobin is a 93 amino acid glycoprotein with homology to other secretoglobin-uteroglobin family members. It was originally identified as a breast cancer restricted biomarker by differential screening. Mammaglobin related to secretoglobin family that includes human uteroglobin and lipophilin. Mammaglobin antibody stains cytoplasm of normal breast epithelial cells as well as primary and metastatic breast carcinomas. Mammaglobin expression is absent in prostate, kidney, colon, rectum, small intestine, stomach, pancreas, lung, and thyroid tissues.Mammaglobin may be used as part of an immunohistochemical panel for determination of metastatic breast carcinoma and tumor of unknown primary origin.
There are no reviews yet.