Kappa Light Chain (B-Cell Marker) Antibody [HP6053]

In Stock
Catalog Number Formulation Size Price
3514-MSM4-P0
Purified Ab with BSA and Azide at 200ug/ml
20ug
$259.00
3514-MSM4-P1
Purified Ab with BSA and Azide at 200ug/ml
100ug
$559.00
3514-MSM4-P1ABX
Purified Ab WITHOUT BSA and Azide at 1.0mg/ml
100ug
$559.00
Flat Rate Domestic: $95 | Orders outside the US - Contact Us for Order Information | Ships next business day

Applications & Dilutions

Applications Tested Dillution Protocol Note
Flow Cytometry (Flow)
1-2ug/million cells
Immunohistochemistry (IHC)
1-2ug/ml
30 min at RT. Staining of formalin-fixed tissues requires heating tissue sections in 10mM Tris with 1mM EDTA, pH 9.0, for 45 min at 95°C followed by cooling at RT for 20 minutes
Western Blot (WB)
2-4ug/ml

Summary

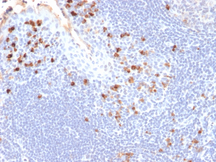
This MAb is specific to kappa light chain of immunoglobulin and shows no cross-reaction with lambda light chain or any of the five heavy chains. In mammals, the two light chains in an antibody are always identical, with only one type of light chain, kappa or lambda. The ratio of Kappa to Lambda is 70:30. However, with the occurrence of multiple myeloma or other B-cell malignancies this ratio is disturbed. Antibody to the kappa light chain is reportedly useful in the identification of leukemias, plasmacytomas, and certain non-Hodgkin’s lymphomas. Demonstration of clonality in lymphoid infiltrates indicates that the infiltrate is malignant.

Product Properties & Targets

Antibody Type
Host
Mouse
Species Reactivity
Research Areas
Isotype / Light Chain
IgG1 / Kappa
Cellular Localization
Cell membrane, Secreted
Gene Name
Positive Control
293T, Raji or hPBL cells. Tonsil or Spleen.
Immunogen
Purified human Ig kappa chain
Alternate Names
Immunoglobulin kappa variable 1D-16, Ig kappa chain V-I region HK146, Ig kappa chain V-I region HK189, HCAK1; Ig Kappa Chain C Region; IGKC; Immunoglobulin KM

Database Links

Entrez Gene ID
SwissProt

Additional Information

Clone
HP6053
Chromosome Location
2p11.2
Mol. Weight of Antigen
~22.5kDa

Functions

  • V region of the variable domain of immunoglobulin light chains that participates in the antigen recognition (PubMed:24600447). Immunoglobulins, also known as antibodies, are membrane-bound or secreted glycoproteins produced by B lymphocytes. In the recognition phase of humoral immunity, the membrane-bound immunoglobulins serve as receptors which, upon binding of a specific antigen, trigger the clonal expansion and differentiation of B lymphocytes into immunoglobulins-secreting plasma cells. Secreted immunoglobulins mediate the effector phase of humoral immunity, which results in the elimination of bound antigens (PubMed:20176268, PubMed:22158414). The antigen binding site is formed by the variable domain of one heavy chain, together with that of its associated light chain. Thus, each immunoglobulin has two antigen binding sites with remarkable affinity for a particular antigen. The variable domains are assembled by a process called V-(D)-J rearrangement and can then be subjected to somatic hypermutations which, after exposure to antigen and selection, allow affinity maturation for a particular antigen (PubMed:20176268, PubMed:17576170).

Key References

  • Takahashi H et. al. Pathol Res Prac 189:300-311 (1993).2. Momose H et. al. Hum Pathol. 23:1115-1119 (1992).

Storage & Stability

Antibody with azide - store at 2 to 8°C. Antibody without azide - store at -20 to -80°C. Antibody is stable for 24 months. Non-hazardous. No MSDS required.

Limitations

This antibody is available for research use only and is not approved for use in diagnosis.

Supplied as

200ug/ml of Ab Purified from Bioreactor Concentrate by Protein A/G. Prepared in 10mM PBS with 0.05% BSA & 0.05% azide. Also available WITHOUT BSA & azide at 1.0mg/ml.

Warranty

There are no warranties, expressed or implied, which extend beyond this description. Company is not liable for any personal injury or economic loss resulting from this product.

Reviews

There are no reviews yet.

Be the first to review “Kappa Light Chain (B-Cell Marker) Antibody”

Your email address will not be published. Required fields are marked *

PARTNERSHIP OPPORTUNITIES

NeoBiotechnologies holds Exclusive rights to 10,000 recombinant and hybridoma antibody products, available for Licensing or Collaboration.

LETS TALK