
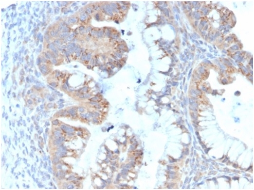
Formalin-fixed, paraffin-embedded human colon carcinomastained with Interleukin-7 (IL-7) Mouse Monoclonal Antibody (IL7/4013). HIER: Tris/EDTA, pH9.0, 45min. 2°C: HRP-polymer, 30min. DAB, 5min.

SDS-PAGE Analysis of Purified IL-7Mouse Monoclonal Antibody (IL7/4013). Confirmation of Purity and Integrity of Antibody.
Interleukin-7 (IL-7) was originally described as a factor capable of inducing in vitro proliferation of pre-B cells from marrow cultures. The IL-7 gene encodes a protein 177 amino acids in length. IL-7 exerts its biological function through the IL-7 receptor which is expressed on pre-B cells, thymocytes and bone marrow-derived macrophages. The IL-7 receptor is composed of an IL-7 receptor specific chain and the IL-2 receptor 纬 chain common to the IL-2, IL-4, IL-7, IL-9 and IL-15 receptors. IL-7 stimulation leads to the activation of Janus tyrosine kinase family members JAK1 and JAK3. Other studies have shown that in T cells, the IL-7 receptor-specific chain associates with the Src kinases family Lck and Fyn. IL-7 induces phosphorylation of Insulin receptor substrate-1 (IRS-1) and Insulin receptor substrate-2 (IRS-2), originally called 4PS.
There are no reviews yet.