
SDS-PAGE Analysis of Purified Interleukin-3 (IL-3) Mouse Monoclonal Antibody (IL3/4005). Confirmation of Purity and Integrity of Antibody.

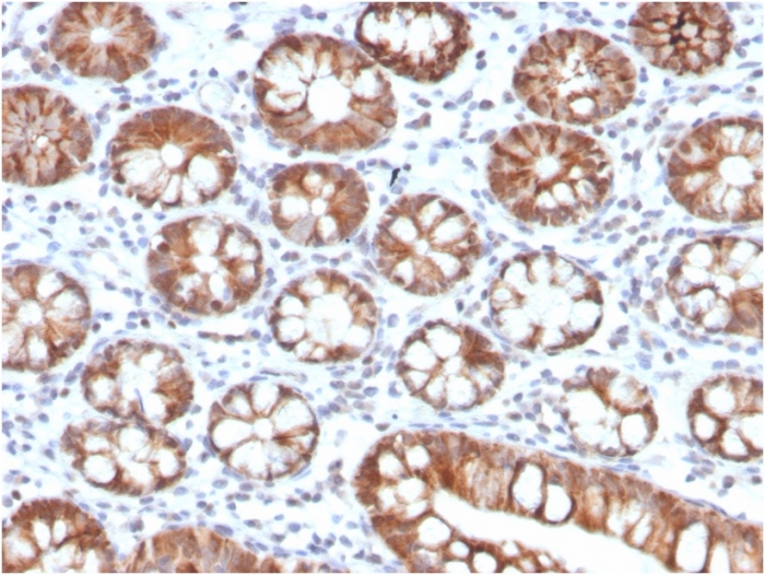
Formalin-fixed, paraffin-embedded human small intestine stained with Interleukin-3 (IL-3) Mouse Monoclonal Antibody (IL3/4005). HIER: Tris/EDTA, pH9.0, 45min. 2°C: HRP-polymer, 30min. DAB, 5min.

Analysis of Protein Array containing more than 19,000 full-length human proteins using Interleukin-3 (IL-3) Monospecific Mouse Monoclonal Antibody (IL3/4005). Z- and S- Score: The Z-score represents the strength of a signal that a monoclonal antibody (MAb) (in combination with a fluorescently-tagged anti-IgG secondary antibody) produces when binding to a particular protein on the HuProtTM array. Z-scores are described in units of standard deviations (SD's) above the mean value of all signals generated on that array. If targets on HuProtTM are arranged in descending order of the Z-score, the S-score is the difference (also in units of SD's) between the Z-score. S-score therefore represents the relative target specificity of a MAb to its intended target. A MAb is considered to be specific to its intended target, if the MAb has an S-score of at least 2.5. For example, if a MAb binds to protein X with a Z-score of 43 and to protein Y with a Z-score of 14, then the S-score for the binding of that MAb to protein X is equal to 29.
Interleukin-3, or IL-3, is a pleiotropic cytokine that is primarily secreted by activated T lymphocytes and stimulates the proliferation and differentiation of hematopoietic cells. IL-3 not only supports growth of both pluripotent stem cells and the more differentiated committed progenitors, but it also stimulates the functional activity of some fully differentiated cells. IL-3 has also been shown to protect mast cells from undergoing apoptosis. IL-3 exerts its biological effects through a receptor which consists of a ligand-specific 伪 subunit and a signal transducing 尾 subunit common to the IL-3/IL-5/GM-CSF receptors. The carboxy terminus of the 尾 subunit has been shown to be necessary for activation of the MAP kinase signaling pathway. Although the IL-3 receptor has no intrinsic kinase activity, stimulation with IL-3 leads to tyrosine phosphorylation of the JAK/Tyk 2 family member, JAK2, which in turn activates and causes nuclear translocation of Stat5a and Stat5b.
There are no reviews yet.