
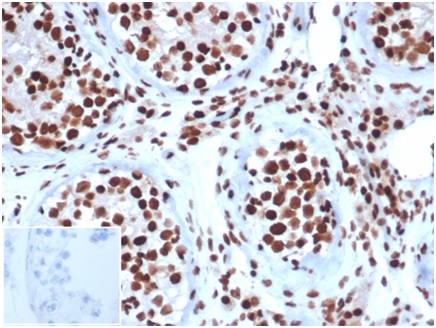
Formalin-fixed, paraffin-embedded human testis stained with INI-1Mouse Monoclonal Antibody (SMARCB1/3984) at 2ug/ml. Inset: PBS instead of primary antibody, secondary negative control.

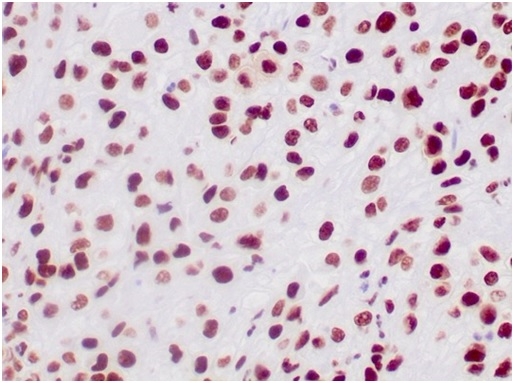
Formalin-fixed, paraffin-embedded human epithelioid sarcoma stained with INI-1 Mouse Monoclonal Antibody (SMARCB1/3984).

Formalin-fixed, paraffin-embedded human epithelioid sarcoma stained with INI-1 Mouse Monoclonal Antibody (SMARCB1/3984).

SDS-PAGE Analysis Purified INI-1 Mouse Monoclonal Antibody (SMARCB1/3984). Confirmation of Purity and Integrity of Antibody.

Analysis of Protein Array containing more than 19,000 full-length human proteins using INI-1-Monospecific Mouse Monoclonal Antibody (SMARCB1/3984). Z- and S- Score: The Z-score represents the strength of a signal that a monoclonal antibody (MAb) (in combination with a fluorescently-tagged anti-IgG secondary antibody) produces when binding to a particular protein on the HuProtTM array. Z-scores are described in units of standard deviations (SD's) above the mean value of all signals generated on that array. If targets on HuProtTM are arranged in descending order of the Z-score, the S-score is the difference (also in units of SD's) between the Z-score. S-score therefore represents the relative target specificity of a MAb to its intended target. A MAb is considered to be specific to its intended target, if the MAb has an S-score of at least 2.5. For example, if a MAb binds to protein X with a Z-score of 43 and to protein Y with a Z-score of 14, then the S-score for the binding of that MAb to protein X is equal to 29.
The INI-1 gene, which encodes a functionally uncharacterized protein component of the hSWI/SNF chromatin remodeling complex, is often mutated or deleted in malignant rhabdoid tumor (MRT). Two isoforms of INI-1, that differ by the variable inclusion of amino acids, potentially are produced by differential RNA splicing. The morphology of MRTs can present challenges in differential diagnosis. The overall survival of MRTs relative to its potential mimics (medulloblastoma, supratentorial primitive neuroectodermal tumors (sPNETs) is quite low, and thus differentiation from these other tumors is desirable. Lack of nuclear labeling by anti-INI-1 is characteristic of MRT. The majority of medulloblastomas and sPNETs are labeled by anti-INI-1. MRTs also originate from the kidney and soft tissues.
There are no reviews yet.