
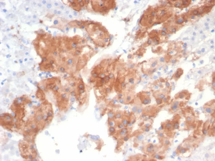
Formalin-fixed, paraffin-embedded human adrenal gland stained with IL22RA2 Mouse Monoclonal Antibody (IL22RA2/7291). HIER: Tris/EDTA, pH9.0, 45min. 2°C: HRP-polymer, 30min. DAB, 5min.
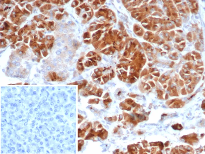
IL-22Rα2 (Interleukin-22 receptor α2 chain), also known as IL-22 binding protein (IL-22BP), cytokine receptor family class II member 10 (CRF2-10) or CRF2- soluble 1 (CRF2-S1), is a soluble, nonsignaling single chain receptor for IL-22. It is highly expressed in intestine and lymph nodes and is also found in spleen, kidney and liver. IL-22Rα2 has a cytokine-binding domain that contains two FnIII domains. Its affinity for IL-22 is 4- to 10-fold higher than that of the membrane-bound IL-22 receptor, however it has a dissociation rate up to 20 times lower. By binding to IL-22, IL-22Rα2 prevents the binding to the IL-22 membrane-bound receptor and therefore inhibits IL-22 signaling. This suggests that IL-22Rα2 may be important in regulating inflammatory responses. In addition, IL-22Rα2 can be induced by lipopolysaccharides (LPSs).
There are no reviews yet.