
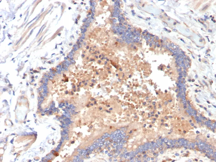
Formalin-fixed, paraffin-embedded human COVID positive lung stained with IL-6 Mouse Monoclonal Antibody (IL6/4642) at 2ug/ml. HIER: Tris/EDTA, pH9.0, 45min. 2°C: HRP-polymer, 30min. DAB, 5min.

Formalin-fixed, paraffin-embedded human pancreas stained with IL-6 Mouse Monoclonal Antibody (IL6/4642) at 2ug/ml. Inset: PBS instead of primary antibody; secondary only negative control.

SDS-PAGE Analysis of Purified IL-6 Mouse Monoclonal Antibody (IL6/4642). Confirmation of Purity and Integrity of Antibody.

Analysis of Protein Array containing more than 19,000 full-length human proteins using IL-6-Monospecific Mouse Monoclonal Antibody (IL6/4642). Z- and S- Score: The Z-score represents the strength of a signal that a monoclonal antibody (MAb) (in combination with a fluorescently-tagged anti-IgG secondary antibody) produces when binding to a particular protein on the HuProtTM array. Z-scores are described in units of standard deviations (SD's) above the mean value of all signals generated on that array. If targets on HuProtTM are arranged in descending order of the Z-score, the S-score is the difference (also in units of SD's) between the Z-score. S-score therefore represents the relative target specificity of a MAb to its intended target. A MAb is considered to specific to its intended target, if the MAb has an S-score of at least 2.5. For example, if a MAb binds to protein X with a Z-score of 43 and to protein Y with a Z-score of 14, then the S-score for the binding of that MAb to protein X is equal to 29.
IL-6 is a potent lymphoid cell growth factor that stimulates the growth and survivability of certain B-cells and T-cells. It plays a critical role in B-cell differentiation to plasma cells and is a potent growth factor for plasmacytoma and myeloma. IL-6 is produced by a variety of cell types, including monocytes, fibroblasts and endothelial cells. Upon stimulation, macrophages, T, B, mast, and glial cells, eosinophils, keratinocytes and granulocytes also secrete IL-6.It is involved in host defense, acute phase reactions, immune responses, and hematopoiesis.
There are no reviews yet.