
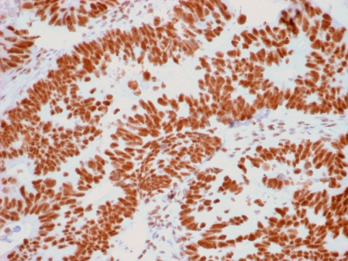
Formalin-fixed, paraffin-embedded human Colon Carcinoma stained with Nucleolar Mouse Monoclonal Antibody (NM95).

Formalin-fixed, paraffin-embedded human Tonsil stained with Nucleolar Mouse Monoclonal Antibody (NM95).

Formalin-fixed, paraffin-embedded human Colon Carcinoma stained with CF488 Conjugate of Nucleolar Mouse Monoclonal Antibody (NM95).

Flow Cytometry of Human Nucleolar Ag on 293T cells. Black: cells alone; Grey: Isotype Control; Green: AF488-labeled human Nucleolar MAb (NM95).

Flow Cytometric Analysis of PFA-fixed K562 cells using Nucleolar Mouse Monoclonal Antibody (NM95) followed by Goat anti-Mouse IgG-CF488 (Blue); Isotype Control (Red)

Immunofluorescence Analysis of PFA-fixed K562 cells labeling Nucleolin with Nucleolar Mouse Monoclonal Antibody (NM95) followed by Goat anti-Mouse IgG-CF488 (Green). Membrane is stained with Phalloidin-CF640.
This MAb is an excellent marker for human cells in xenographic model research. It reacts specifically with human cells. This monoclonal antibody is part of a new panel of reagents, which recognizes subcellular organelles or compartments of human cells. These markers may be useful in identification of these organelles in cells, tissues, and biochemical preparations. MAb NM95 recognizes an antigen associated with the nucleoli in human cells. It can be used to stain the nucleoli in cell or tissue preparations and can be used as a marker of the nucleoli in subcellular fractions. It produces a speckled pattern in the nuclei of cells of normal and malignant cells and may be used to stain the nucleoli of cells in fixed or frozen tissue sections. It can be used with paraformaldehyde fixed frozen tissue or cell preparations and formalin fixed, paraffin-embedded tissue sections.
There are no reviews yet.