
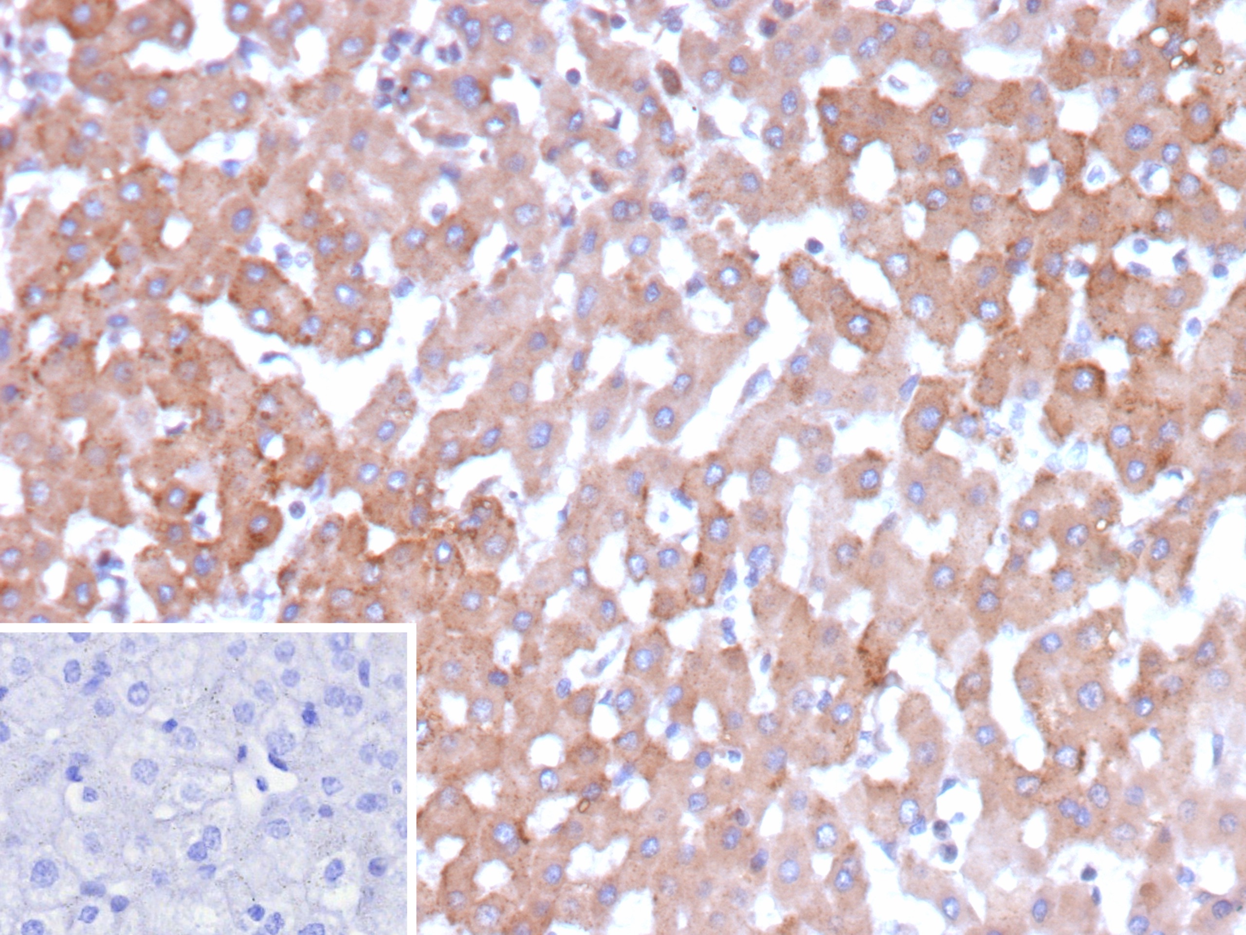
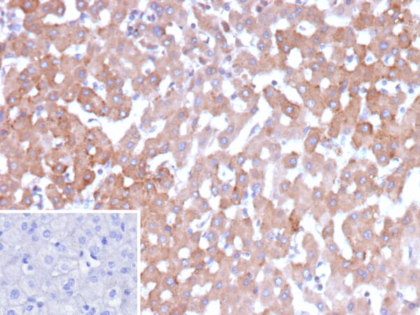
Formalin-fixed, paraffin-embedded human hepatocellular carcinoma stained with Hydroxysteroid 17-beta dehydrogenase 13 Mouse Monoclonal Antibody (HSD17B13/13109). Inset: PBS instead of primary antibody; secondary only negative control.
Hydroxysteroid 17-beta dehydrogenase 13 (HSD17B13) is an engyme in the liver that is associated with lipid droplets. It is encoded by the HSD17B13 gene in humans. HSD17B13 levels increase in patients with non-alcoholic fatty liver disease (NAFLD) and can enhance lipogenesis. However, some studies have shown that loss-of-function variants in HSD17B13 may protect against the progression of NAFLD to non-alcoholic steatohepatitis, fibrosis, and hepatocellular carcinoma.
There are no reviews yet.