
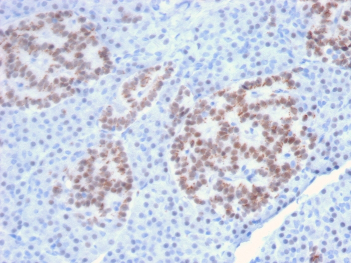
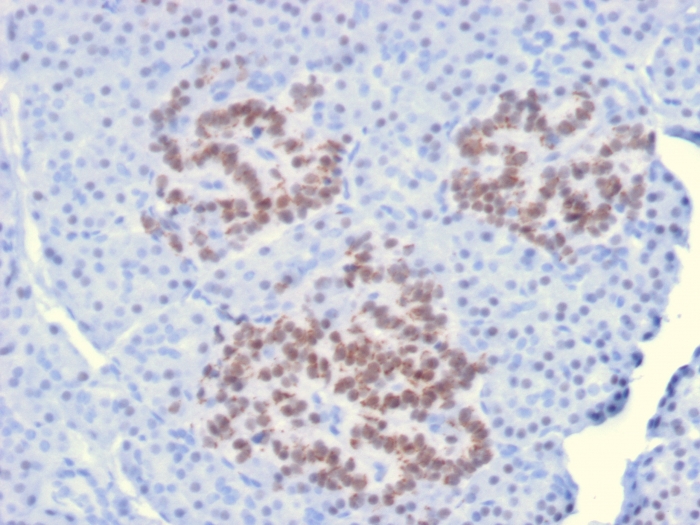
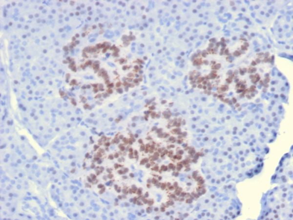
Formalin-fixed, paraffin-embedded human Pancreas stained with HNF1A Mouse Monoclonal Antibody (HNF1A/2087).

Formalin-fixed, paraffin-embedded human Pancreas stained with HNF1A Mouse Monoclonal Antibody (HNF1A/2087).

Formalin-fixed, paraffin-embedded human Small Intestine stained with HNF1A Mouse Monoclonal Antibody (HNF1A/2087).

SDS-PAGE Analysis Purified HNF1A Mouse Monoclonal Antibody (HNF1A/2087). Confirmation of Integrity and Purity of Antibody.

Analysis of Protein Array containing more than 19,000 full-length human proteins using HNF1A Mouse Monoclonal Antibody (HNF1A/2087). Z- and S- Score: The Z-score represents the strength of a signal that a monoclonal antibody (MAb) (in combination with a fluorescently-tagged anti-IgG secondary antibody) produces when binding to a particular protein on the HuProtTM array. Z-scores are described in units of standard deviations (SD's) above the mean value of all signals generated on that array. If targets on HuProtTM are arranged in descending order of the Z-score, the S-score is the difference (also in units of SD's) between the Z-score. S-score therefore represents the relative target specificity of a MAb to its intended target. A MAb is considered to specific to its intended target, if the MAb has an S-score of at least 2.5. For example, if a MAb binds to protein X with a Z-score of 43 and to protein Y with a Z-score of 14, then the S-score for the binding of that MAb to protein X is equal to 29.
HNF1A belongs to the homeobox protein family and is an essential transcription factor for many hepatic genes involved in detoxification, homeostasis and metabolisms of glucose, lipid, steroid and amino acid. In addition, HNF1A is an important component of the transcriptional networks governing embryonic pancreas development and differentiation. as well as maintaining the growth and function of islet cells in adult. HNF1A (Hepatocyte nuclear factor 1 alpha) is a transcription factor that is known to regulate pancreatic differentiation and maintain homeostasis of endocrine pancreas. Recently, genome-wide association studies have implicatedHNF1Aas a susceptibility gene for pancreatic cancer.
There are no reviews yet.