
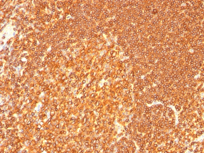
Formalin-fixed, paraffin-embedded human Tonsil stained with HLA-DR Monoclonal Antibody (LN-3 + HLA-DRB/1067).

Formalin-fixed, paraffin-embedded human Histiocytoma stained with HLA-DR Monoclonal Antibody (LN-3 + HLA-DRB/1067).

Western Blot Analysis of Human Spleen tissue lysate using HLA-DR Mouse Monoclonal Antibody (LN-3 + HLA-DRB/1067).

Immunofluorescence Analysis of Raji cells labeling HLA-DR with HLA-DR Monoclonal Antibody (LN-3 + HLA-DRB/1067) conjugated with CF594 (Cyan).The nuclear counterstain is Reddot (Red)

Flow Cytometric Analysis of Human Raji cells using HLA-DR Mouse Monoclonal Antibody (LN-3 + HLA-DRB/1067) conjugated with APC (Blue); Isotype Control (Red).
This MAb reacts with the beta-chain of HLA-DRB1 antigen, a member of MHC class II molecules. It does not cross react with HLA-DP and HLA-DQ. HLA-DR is a heterodimeric cell surface glycoprotein comprised of a 36kDa alpha (heavy) chain and a 28kDa beta (light) chain. It is expressed on B-cells, activated T-cells, monocytes/macrophages, dendritic cells and other non-professional APCs. In conjunction with the CD3/TCR complex and CD4 molecules, HLA-DR is critical for efficient peptide presentation to CD4+ T cells. It is an excellent histiocytic marker in paraffin sections producing intense cytoplasmic staining. True histiocytic neoplasms are similarly positive. HLA-DR antigens also occur on a variety of epithelial cells and their corresponding neoplastic counterparts. Loss of HLA-DR expression is related to tumor microenvironment and predicts adverse outcome in diffuse large B-cell lymphoma.
There are no reviews yet.