
Western Blot Analysis of human heart tissue lysate using Histone H1 Mouse Monoclonal Antibody (AE-4).

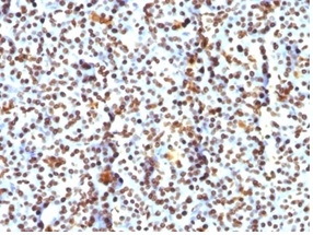
Formalin-fixed, paraffin-embedded human testicular carcinoma stained with Histone H1 Mouse Monoclonal Antibody (AE-4)

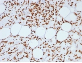
Formalin-fixed, paraffin-embedded human pancreas stained with Histone H1 Mouse Monoclonal Antibody (AE-4)

SDS-PAGE Analysis Purified Histone H1 Mouse Monoclonal Antibody (AE-4) Confirmation of Integrity and Purity of Antibody.

Flow Cytometric Analysis of HeLa cells. Histone H1 Mouse Monoclonal Antibody (AE-4) followed by goat anti-mouse IgG-CF488 (blue); isotype control (red).
Eukaryotic histones are basic and water-soluble nuclear proteins that form hetero-octameric nucleosome particles by wrapping 146 base pairs of DNA in a left-handed super-helical turn sequentially to form chromosomal fiber. Two molecules of each of the four core histones (H2A, H2B, H3, and H4) form the octamer; formed of two H2A-H2B dimers and two H3-H4 dimers, forming two nearly symmetrical halves by tertiary structure. Over 80% of nucleosomes contain the linker Histone H1, derived from an intronless gene that interacts with linker DNA between nucleosomes and mediates compaction into higher order chromatin. Histones are subject to posttranslational modification by enzymes primarily on their N-terminal tails, but also in their globular domains. Such modifications include methylation, citrullination, acetylation, phosphorylation, sumoylation, ubiquitination and ADP-ribosylation.
There are no reviews yet.