HGAL (Human Germinal Center Associated Lymphoma Marker) Antibody [HGAL/830]

In Stock
Catalog Number Formulation Size Price
257144-MSM1-P0
Purified Ab with BSA and Azide at 200ug/ml
20ug
$259.00
257144-MSM1-P1
Purified Ab with BSA and Azide at 200ug/ml
100ug
$559.00
257144-MSM1-P1ABX
Purified Ab WITHOUT BSA and Azide at 1.0mg/ml
100ug
$559.00
Flat Rate Domestic: $95 | Orders outside the US - Contact Us for Order Information | Ships next business day

Applications & Dilutions

Applications Tested Dillution Protocol Note
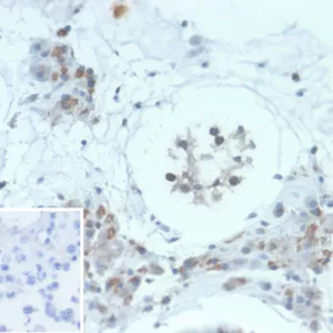
Immunohistochemistry (IHC)
1-2ug/ml
30 min at RT. Staining of formalin-fixed tissues requires heating tissue sections in 10mM Tris with 1mM EDTA, pH 9.0, for 45 min at 95°C followed by cooling at RT for 20 minutes

Summary

Recognizes a protein of kDa, which is identified as HGAL. It contains a putative PDZ-interacting domain, an immunoreceptor tyrosine-based activation motif (ITAM), and two putative SH2 binding sites. In B cells, its expression is specifically induced by interleukin-4. HGAL is specifically expressed in germinal center B-cells, but is absent in mantle and marginal zone B-cells and in the inter-follicular and para-cortical regions in normal tonsils and lymph nodes. Its high degree of specificity for germinal center B-cells makes anti-HGAL an ideal marker for the detection of germinal center-derived B-cell lymphomas. HGAL expression has been used to help elucidate nodal marginal zone lymphoma (NMZL) from cases of diffuse follicle center lymphoma. Additionally, HGAL expression was shown to correlate with survival in patients with diffuse large B-cell lymphoma (DLBCL).

Product Properties & Targets

Antibody Type
Host
Mouse
Applications
Species Reactivity
Isotype / Light Chain
IgG1 / Kappa
Cellular Localization
Cell membrane, Cytoplasm
Gene Name
Positive Control
Daudi, Raji or U266 cells. Human lymphocytes. Human lymph node, tonsil or testis.
Immunogen
Recombinant fragment (178 Amino acid residues from around aa1-200) of human HGAL protein
Alternate Names
Germinal center-associated signaling and motility protein, Germinal center B-cell-expressed transcript 2 protein, Germinal center-associated lymphoma protein, GCAT2; GCET2 germinal center expressed transcript 2; Germinal center associated lymphoma (hGAL); Germinal center B-cell-expressed transcript 2 protein; Germinal center-associated signaling and motility protein

Database Links

Entrez Gene ID
SwissProt

Additional Information

Clone
HGAL/830
Chromosome Location
3q13.2.2
Mol. Weight of Antigen
21kDa

Functions

  • Involved in the negative regulation of lymphocyte motility. It mediates the migration-inhibitory effects of IL6. Serves as a positive regulator of the RhoA signaling pathway. Enhancement of RhoA activation results in inhibition of lymphocyte and lymphoma cell motility by activation of its downstream effector ROCK. Is a regulator of B-cell receptor signaling, that acts through SYK kinase activation.

Key References

  • Natkunam Y, et al. Expression of the human germinal center-associated lymphoma (HGAL) protein, a new marker of germinal center B-cell derivation. Blood. 2005 May 15;105(10):3979-86.

Storage & Stability

Antibody with azide - store at 2 to 8 °C. Antibody without azide - store at -20 to -80 °C. Antibody is stable for 24 months. Non-hazardous. No MSDS required.

Limitations

This antibody is available for research use only and is not approved for use in diagnosis.

Supplied as

200ug/ml of Ab purified from Bioreactor Concentrate by Protein A/G. Prepared in 10mM PBS with 0.05% BSA & 0.05% azide. Also available WITHOUT BSA & azide at 1.0mg/ml.

Warranty

There are no warranties, expressed or implied, which extend beyond this description. Company is not liable for any personal injury or economic loss resulting from this product.

Reviews

There are no reviews yet.

Be the first to review “HGAL (Human Germinal Center Associated Lymphoma Marker) Antibody”

Your email address will not be published. Required fields are marked *

PARTNERSHIP OPPORTUNITIES

NeoBiotechnologies holds Exclusive rights to 10,000 recombinant and hybridoma antibody products, available for Licensing or Collaboration.

LETS TALK