HCG-beta (Pregnancy & Choriocarcinoma Marker) Antibody [HCGb/459]

In Stock
Catalog Number Formulation Size Price
1082-MSM2-P0
Purified Ab with BSA and Azide at 200ug/ml
20ug
$259.00
1082-MSM2-P1
Purified Ab with BSA and Azide at 200ug/ml
100ug
$559.00
1082-MSM2-P1ABX
Purified Ab WITHOUT BSA and Azide at 1.0mg/ml
100ug
$559.00
Flat Rate Domestic: $95 | Orders outside the US - Contact Us for Order Information | Ships next business day

Applications & Dilutions

Applications Tested Dillution Protocol Note
Immunohistochemistry (IHC)
1-2ug/ml
30 min at RT. Staining of formalin-fixed tissues requires heating tissue sections in 10mM Tris with 1mM EDTA, pH 9.0, for 45 min at 95°C followed by cooling at RT for 20 minutes

Summary

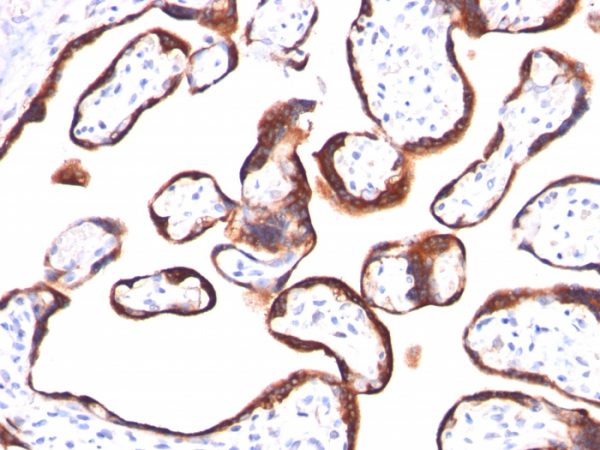
This MAb reacts with a protein of 22kDa, identified as beta sub-unit of HCG. It does not cross react with the alpha sub-unit. HCG is a glycoprotein, which is secreted in large quantities by normal trophoblasts. It is present only in trace amounts in non-pregnant urine and sera but rises sharply during pregnancy. HCG is composed of two non-identical, non-covalently linked polypeptide chains designated as the subunit is identical to that of thyroid stimulating hormone (TSH) follicle stimulating hormone (FSH), and luteinizing hormone (LH). HCG MAb detects cells and tumors of trophoblastic origin such as choriocarcinoma. Large cell carcinoma and adenocarcinoma of the lung demonstrate anti-hCG positivity in 90% and 60% of cases respectively. 20% of lung squamous cell carcinomas are positive. HCG expression by non-trophoblastic tumors may indicate aggressive behavior.

Product Properties & Targets

Antibody Type
Host
Mouse
Applications
Species Reactivity
Research Areas
Isotype / Light Chain
IgG1 / Kappa
Cellular Localization
N/A
Gene Name
Positive Control
JAR or TT cells. Placenta.
Immunogen
Recombinant full-length hCG beta protein
Alternate Names
N/A, N/A, CG-beta; CGB3; CGB5; CGB7; CGB8; Choriogonadotropin Subunit beta; hCGB

Database Links

Entrez Gene ID
SwissProt

Additional Information

Clone
HCGb/459
Chromosome Location
19q13.33
Mol. Weight of Antigen
22kDa

Functions

  • N/A

Key References

  • Cocquebert M, et. al. Am J Physiol Endocrinol Metab. 2012;303(8):E950-8.

Storage & Stability

Antibody with azide - store at 2 to 8°C. Antibody without azide - store at -20 to -80°C. Antibody is stable for 24 months. Non-hazardous. No MSDS required.

Limitations

This antibody is available for research use only and is not approved for use in diagnosis.

Supplied as

200ug/ml of Ab Purified from Bioreactor Concentrate by Protein A/G. Prepared in 10mM PBS with 0.05% BSA & 0.05% azide. Also available WITHOUT BSA & azide at 1.0mg/ml.

Warranty

There are no warranties, expressed or implied, which extend beyond this description. Company is not liable for any personal injury or economic loss resulting from this product.

Reviews

There are no reviews yet.

Be the first to review “HCG-beta (Pregnancy & Choriocarcinoma Marker) Antibody”

Your email address will not be published. Required fields are marked *

PARTNERSHIP OPPORTUNITIES

NeoBiotechnologies holds Exclusive rights to 10,000 recombinant and hybridoma antibody products, available for Licensing or Collaboration.

LETS TALK