
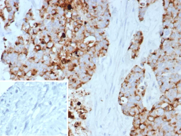
Formalin-fixed, paraffin-embedded human bladder carcinoma stained with GPRC5A Mouse Monoclonal Antibody (GPRC5A/7893). Inset: PBS instead of primary antibody; secondary only negative control.
Retinoic acid-induced protein 3 (RAI3) is an transmembrane G protein-coupled receptor that affects many essential biological processes including embryogenesis, cell growth, differentiation, and apoptosis. RAI3 may also be involved in maintaining homeostasis of epithelial cells. Retinoic acid receptors directly regulate RAI3 during its transcription in embryonal carcinoma differentiation. RAI3 expression is upregulated in most tumor cell lines that express mutant p53, suggesting that p53 interacts with the promoter of RAI3 and represses its expression at the beginning of apoptosis. RAI3 is a potential molecular target for diagnosing breast cancer, and selective suppression of signals from RAI3 may have a place in breast cancer treatments.
There are no reviews yet.