
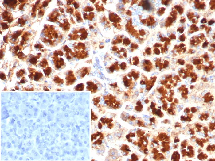
Formalin-fixed, paraffin-embedded human pancreas stained with GIRK2 Mouse Monoclonal Antibody (KCNJ6/7558) at 2ug/ml. Inset: PBS instead of primary antibody; secondary only negative control.
This gene encodes a member of the G protein-coupled inwardly-rectifying potassium channel family of inward rectifier potassium channels. This type of potassium channel allows a greater flow of potassium into the cell than out of it. These proteins modulate many physiological processes, including heart rate in cardiac cells and circuit activity in neuronal cells, through G-protein coupled receptor stimulation. Mutations in this gene are associated with Keppen-Lubinsky Syndrome, a rare condition characterized by severe developmental delay, facial dysmorphism, and intellectual disability. [provided by RefSeq, Apr 2015]
There are no reviews yet.