
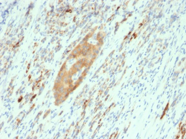
Formalin-fixed, paraffin-embedded human Pancreas stained with GAD2 (GAD65) Mouse Monoclonal Antibody (GAD2/2362).

SDS-PAGE Analysis of Purified GAD2 (GAD65) Mouse Monoclonal Antibody (GAD2/2362). Confirmation of Purity and Integrity of Antibody.

Analysis of Protein Array containing more than 19,000 full-length human proteins using GAD2 (GAD65) Mouse Monoclonal Antibody (GAD2/2362) Z- and S- Score: The Z-score represents the strength of a signal that a monoclonal antibody (Monoclonal Antibody) (in combination with a fluorescently-tagged anti-IgG secondary antibody) produces when binding to a particular protein on the HuProtTM array. Z-scores are described in units of standard deviations (SD's) above the mean value of all signals generated on that array. If targets on HuProtTM are arranged in descending order of the Z-score, the S-score is the difference (also in units of SD's) between the Z-score. S-score therefore represents the relative target specificity of a Monoclonal Antibody to its intended target. A Monoclonal Antibody is considered to specific to its intended target, if the Monoclonal Antibody has an S-score of at least 2.5. For example, if a Monoclonal Antibody binds to protein X with a Z-score of 43 and to protein Y with a Z-score of 14, then the S-score for the binding of that Monoclonal Antibody to protein X is equal to 29.
This MAb recognizes a protein of 65kDa, which is identified as glutamic acid decarboxylase 2 (GDA2). It is responsible for catalyzing the production of gamma-aminobutyric acid from L-glutamic acid. There are two forms of glutamic acid decarboxylases (GAD’s) that are found in the brain: GAD2 (also known as GAD65) and GAD1 (also known as GAD67). GAD1 and GAD2 are members of the group II decarboxylase family of proteins and are responsible for catalyzing the rate-limiting step in the production of GABA (-aminobutyric acid) from L-glutamic acid. Although both GAD’s are found in the brain, GAD2 localizes to synaptic vesicle membranes in nerve terminals, while GAD1 is distributed throughout the cell. A pathogenic role for GAD2 is identified in the human pancreas since it has been identified as an autoantibody and an auto-reactive T cell target in insulin-dependent diabetes.
There are no reviews yet.