
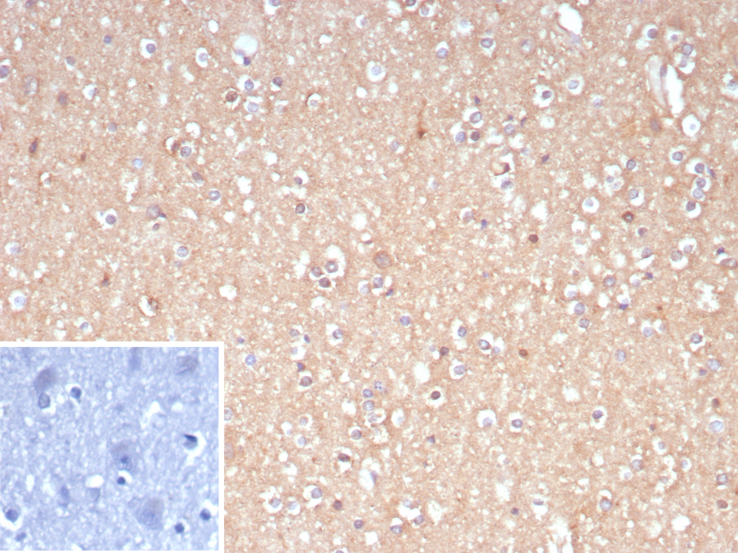
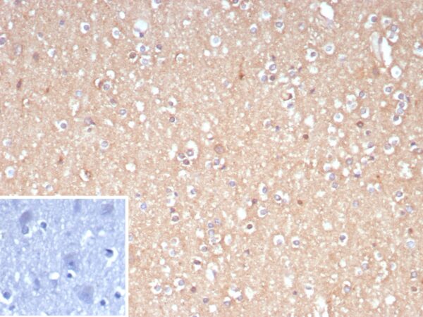
Formalin-fixed, paraffin-embedded human brain stained with FOXO1 Mouse Monoclonal Antibody (FOXO1/9792). Inset: PBS instead of primary antibody; secondary only negative control.
FKHR (for forkhead in rhabdomyosarcoma) and FKHRL1 are members of the forkhead family of transcription factors. Transcriptional activation of FKHR proteins is regulated by the serine/threonine kinase Akt1, which phosphorylates FKHRL1 and results in FKHRL1 associating with 14-3-3 proteins and being retained in the cytoplasm. Induction of apoptosis or withdrawal of growth factors stimulates dephosphorylation and nuclear translocation of FKHR proteins, leading to FKHR-induced gene-specific transcriptional activation. FKHR, also designated forkhead box protein O1A (FOXO1), is a ubiquitously expressed protein that shuttles between the cytoplasm and nucleus. Genetic mutations in FKHR genes, including the t(2;13) and t(1;3) translocations, are commonly found in alveolar rhabdomyosarcomas. These translocations result in the fusion of the amino terminus of Pax-3 or Pax-7, including the paired box and homeodomain DNA-binding domains, with the carboxyterminus of FKHR, which contains a transcriptional activation domain. The Pax-3/FKHR fusion protein appears to function as an oncogenic transcription factor that enhances the activation of normal Pax-3 target genes.
There are no reviews yet.