
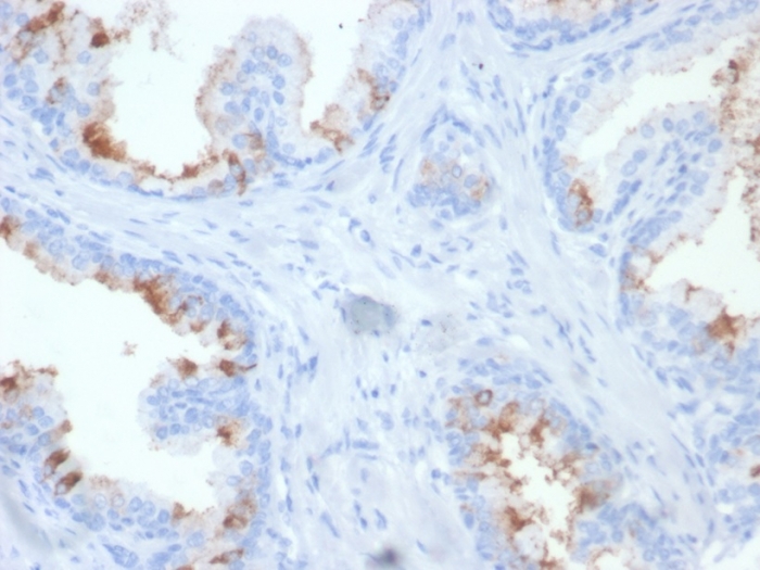
Formalin-fixed, paraffin-embedded human prostate carcinoma stained with FOLH1 Mouse Monoclonal Antibody (FOLH1/2354) at 2ug/ml. HIER: Tris/EDTA, pH9.0, 45min. 2 °: HRP-polymer, 30min. DAB, 5min.

SDS-PAGE Analysis Purified FOLH1 Mouse Monoclonal Antibody (FOLH1/2354). Confirmation of Integrity and Purity of Antibody.

Western Blot Analysis of human LNCaP cell lysate using FOLH1 Mouse Monoclonal Antibody (FOLH1/2354).

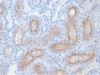
Formalin-fixed, paraffin-embedded cat kidney stained with FOLH1 Mouse Monoclonal Antibody (FOLH1/2354). HIER: Tris/EDTA, pH9.0, 45min. 2 °: HRP-polymer, 30min. DAB, 5min.

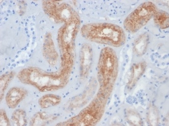
Formalin-fixed, paraffin-embedded dog kidney stained with FOLH1 Mouse Monoclonal Antibody (FOLH1/2354). HIER: Tris/EDTA, pH9.0, 45min. 2 °: HRP-polymer, 30min. DAB, 5min.

Formalin-fixed, paraffin-embedded horse brain stained with FOLH1 Mouse Monoclonal Antibody (FOLH1/2354). HIER: Tris/EDTA, pH9.0, 45min. 2 °: HRP-polymer, 30min. DAB, 5min.

Analysis of Protein Array containing more than 19,000 full-length human proteins using FOLH1 (PSMA) Mouse Monoclonal Antibody (FOLH1/2354). Z- and S- Score: The Z-score represents the strength of a signal that a monoclonal antibody (MAb) (in combination with a fluorescently-tagged anti-IgG secondary antibody) produces when binding to a particular protein on the HuProtTM array. Z-scores are described in units of standard deviations (SD's) above the mean value of all signals generated on that array. If targets on HuProtTM are arranged in descending order of the Z-score, the S-score is the difference (also in units of SD's) between the Z-score. S-score therefore represents the relative target specificity of a MAb to its intended target. A MAb is considered to specific to its intended target, if the MAb has an S-score of at least 2.5. For example, if a MAb binds to protein X with a Z-score of 43 and to protein Y with a Z-score of 14, then the S-score for the binding of that MAb to protein X is equal to 29.
Folate hydrolase 1 (FOLH1), also known as Prostate-specific membrane antigen (PSMA), is a type II transmembrane glycoprotein belonging to the M28 peptidase family. FOLH1 has two enzymatic activities, one as a prostate-specific integral membrane folate hydrolase and the other as a carboxypeptidase In the prostate the protein is up-regulated in cancerous cells and is used as an effective diagnostic and prognostic indicator of prostate cancer.
There are no reviews yet.