ERCC1 / RAD10 (Tumor Progression Marker) Antibody [ERCC1/7597]

In Stock
Catalog Number Formulation Size Price
2067-MSM6-P0
Purified Ab with BSA and Azide at 200ug/ml
20ug
$259.00
2067-MSM6-P1
Purified Ab with BSA and Azide at 200ug/ml
100ug
$559.00
2067-MSM6-P1ABX
Purified Ab WITHOUT BSA and Azide at 1.0mg/ml
100ug
$559.00
Flat Rate Domestic: $95 | Orders outside the US - Contact Us for Order Information | Ships next business day

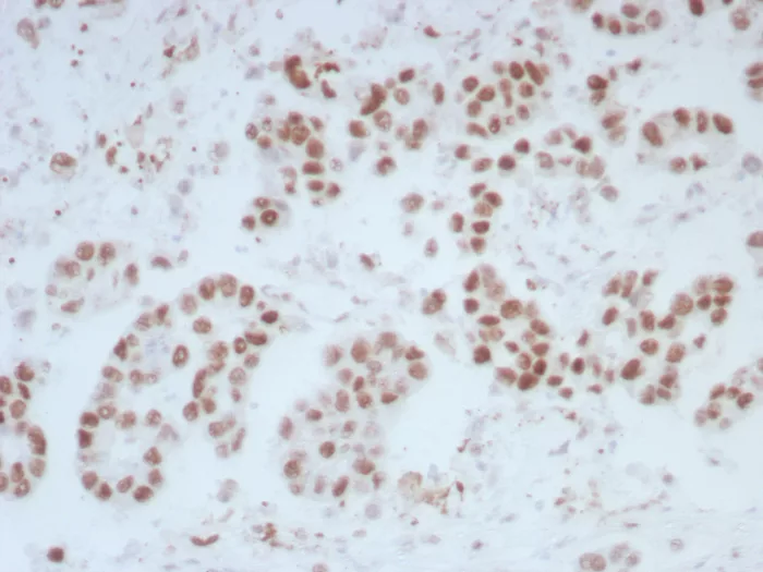
Applications & Dilutions

Applications Tested Dillution Protocol Note
Immunohistochemistry (IHC)
1-2ug/ml
30 min at RT. Staining of formalin-fixed tissues requires heating tissue sections in 10mM Tris with 1mM EDTA, pH 9.0, for 45 min at 95°C followed by cooling at RT for 20 minutes
Western Blot (WB)
2-4ug/ml

Summary

Recognizes a protein of 110kDa, identified as Excision Repair Cross Complementing 1 (ERCC1). It is a mammalian nucleotide excision repair (NER) enzyme involved in repair of damaged DNA. ERCC1 is a homologous to RAD10 in Saccharomyces cerevisiae, which is required in mitotic intrachromosomal recombination and repair. ERCC1 is required in repair of cisplatin-induced DNA adducts and ultraviolet (UV)-induced DNA damage. High expression of ERCC1 has been linked to tumor progression in a variety of cancers including non-small cell lung cancer (NSCLC), squamous cell carcinoma of the head, ovarian cancer and esophageal cancer.

Product Properties & Targets

Antibody Type
Host
Mouse
Species Reactivity
Research Areas
Isotype / Light Chain
IgG1 / Kappa
Cellular Localization
Nucleus.
Gene Name
Positive Control
HeLa or HepG2 cells. Human tonsil or prostate. Brain, Pancreas or Spleen.
Immunogen
Recombinant fragment (around aa 191-281) of human ERCC1 protein (exact sequence is proprietary)
Alternate Names
DNA excision repair protein ERCC-1, COFS4; DNA excision repair protein ERCC1; ERCC1; Excision repair cross complementing 1; RAD10; UV20

Database Links

Entrez Gene ID
SwissProt

Additional Information

Clone
ERCC1/7597
Chromosome Location
19q13.32
Mol. Weight of Antigen
110kDa

Functions

  • Non-catalytic component of a structure-specific DNA repair endonuclease responsible for the 5'-incision during DNA repair. Responsible, in conjunction with SLX4, for the first step in the repair of interstrand cross-links (ICL). Participates in the processing of anaphase bridge-generating DNA structures, which consist in incompletely processed DNA lesions arising during S or G2 phase, and can result in cytokinesis failure. Also required for homology-directed repair (HDR) of DNA double-strand breaks, in conjunction with SLX4.
  • Not functional in the nucleotide excision repair pathway.
  • Not functional in the nucleotide excision repair pathway.
  • Not functional in the nucleotide excision repair pathway.

Key References

  • Miura M, et al. Exp Cell Res 1996;226:126-132.
  • Hayashi T, et al. Mutat Res 1998;407:269-276.

Storage & Stability

Antibody with azide - store at 2 to 8°C. Antibody without azide - store at -20 to -80°C.Antibody is stable for 24 months. Non-hazardous. No MSDS required.

Limitations

This antibody is available for research use only and is not approved for use in diagnosis.

Supplied as

200ug/ml of Ab purified from Bioreactor Concentrate by Protein A/G. Prepared in 10mM PBS with 0.05% BSA & 0.05% azide. Also available WITHOUT BSA & azide at 1.0mg/ml.

Warranty

There are no warranties, expressed or implied, which extend beyond this description. Company is not liable for any personal injury or economic loss resulting from this product.

Reviews

There are no reviews yet.

Be the first to review “ERCC1 / RAD10 (Tumor Progression Marker) Antibody”

Your email address will not be published. Required fields are marked *

PARTNERSHIP OPPORTUNITIES

NeoBiotechnologies holds Exclusive rights to 10,000 recombinant and hybridoma antibody products, available for Licensing or Collaboration.

LETS TALK