
Formalin-fixed, paraffin-embedded human Placenta stained with DNMT3A Mouse Monoclonal Antibody (PCRP-DNMT3A-1E2).

SDS-PAGE Analysis of Purified DNMT3A Mouse Moncolonal Antibody (PCRP-DNMT3A-1E2). Confirmation of Purity and Integrity of Antibody.

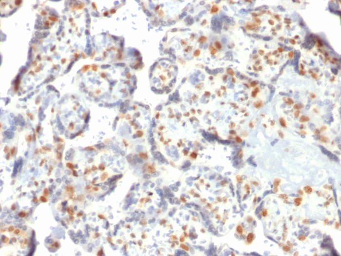
Formalin-fixed, paraffin-embedded human Placenta stained with DNMT3A Mouse Monoclonal Antibody (PCRP-DNMT3A-1E2).

Analysis of Protein Array containing more than 19,000 full-length human proteins using DNMT3A Mouse Monoclonal Antibody (PCRP-DNMT3A-1E2) Z- and S- Score: The Z-score represents the strength of a signal that a monoclonal antibody (MAb) (in combination with a fluorescently-tagged anti-IgG secondary antibody) produces when binding to a particular protein on the HuProtTM array. Z-scores are described in units of standard deviations (SD's) above the mean value of all signals generated on that array. If targets on HuProtTM are arranged in descending order of the Z-score, the S-score is the difference (also in units of SD's) between the Z-score. S-score therefore represents the relative target specificity of a MAb to its intended target. A MAb is considered to specific to its intended target, if the MAb has an S-score of at least 2.5. For example, if a MAb binds to protein X with a Z-score of 43 and to protein Y with a Z-score of 14, then the S-score for the binding of that MAb to protein X is equal to 29.
The specificity of this monoclonal antibody to its intended target was validated by HuProtTM Array, containing more than 19,000, full-length human proteins. DNMT3A is required for genome-wide de novo methylation and is essential for the establishment of DNA methylation patterns during development. DNA methylation is coordinated with methylation of histones. It modifies DNA in a non-processive manner and also methylates non-CpG sites. May preferentially methylate DNA linker between 2 nucleosomal cores and is inhibited by histone H1. Plays a role in paternal and maternal imprinting. Required for methylation of most imprinted loci in germ cells. Acts as a transcriptional corepressor for ZBTB18. Recruited to trimethylated ‘Lys-36’ of histone H3 (H3K36me3) sites. Can actively repress transcription through the recruitment of HDAC activity. Sadenosyl-L-methionin
There are no reviews yet.