
SDS-PAGE Analysis of Purified DBC2 Mouse Monoclonal Antibody (DBC2/3361). Confirmation of Purity and Integrity of Antibody.

IHC analysis of formalin-fixed, paraffin-embedded human renal oncocytoma. Staining using DBC2/3361 at 2ug/ml in PBS for 30min RT. HIER: Tris/EDTA, pH9.0, 45min. 2°C: HRP-polymer, 30min. DAB, 5min.

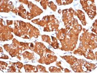
IHC analysis of formalin-fixed, paraffin-embedded human thyroid. Staining using DBC2/3361 at 2ug/ml in PBS for 30min RT.

Analysis of Protein Array containing more than 19,000 full-length human proteins using DBC2 Mouse Monoclonal Antibody (DBC2/3361). Z- and S- Score: The Z-score represents the strength of a signal that a monoclonal antibody (MAb) (in combination with a fluorescently-tagged anti-IgG secondary antibody) produces when binding to a particular protein on the HuProtTM array. Z-scores are described in units of standard deviations (SD's) above the mean value of all signals generated on that array. If targets on HuProtTM are arranged in descending order of the Z-score, the S-score is the difference (also in units of SD's) between the Z-score. S-score therefore represents the relative target specificity of a MAb to its intended target. A MAb is considered to specific to its intended target, if the MAb has an S-score of at least 2.5. For example, if a MAb binds to protein X with a Z-score of 43 and to protein Y with a Z-score of 14, then the S-score for the binding of that MAb to protein X is equal to 29.
The Rho subfamily of Ras-related GTPases controls multiple aspects of cell function, including cytoskeletal rearrangement, nuclear signaling and cell growth. DBC-2 (deleted in breast cancer 2 gene protein), also known as RHOBTB2 (Rho-related BTB domain-containing protein 2), is a 727 amino acid member of the RhoBTB subfamily of Rho GTPases. Members of the RhoBTB subfamily are evolutionarily conserved and are characterized by a proline-rich region, a GTPase domain and two tandem BTB repeats. Expressed ubiquitously with highest levels in neural tissue, heart, brain and fetal lung, DBC-2 contains two BTB (POZ) domains through which it may bind to and regulate the function of target proteins, such as CUL-3. Additionally, DBC-2 is thought to function as a regulator of cell cycle and apoptosis events. Under normal conditions, DBC-2 is thought to exhibit tumor suppressor activity. Mutations in the gene encoding DBC-2 are associated with breast cancer, suggesting that mutated DBC-2 may play a role in carcinogenesis.
There are no reviews yet.