Cytokeratin 10 (Suprabasal Epithelial Marker) Antibody [KRT10/844 + KRT10/1275]

In Stock
Catalog Number Formulation Size Price
3858-MSM6-P0
Purified Ab with BSA and Azide at 200ug/ml
20ug
$259.00
3858-MSM6-P1
Purified Ab with BSA and Azide at 200ug/ml
100ug
$559.00
3858-MSM6-P1ABX
Purified Ab WITHOUT BSA and Azide at 1.0mg/ml
100ug
$559.00
Flat Rate Domestic: $95 | Orders outside the US - Contact Us for Order Information | Ships next business day

Applications & Dilutions

Applications Tested Dillution Protocol Note
Immunohistochemistry (IHC)
1-2ug/ml
30 min at RT. Staining of formalin-fixed tissues requires heating tissue sections in 10mM Tris with 1mM EDTA, pH 9.0, for 45 min at 95°C followed by cooling at RT for 20 minutes

Summary

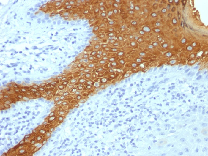
This MAb recognizes a protein of 56.5kDa, identified as cytokeratin 10 (CK10). CK10 is expressed in all suprabasal layers of the epidermis. In the epidermis, expression of CK10 strictly parallels the extent of differentiation; it is absent in the basal layer, appears in the first suprabasal layers and increases in concentration towards the granular layer. However, CK10 is rarely detected in early stages of vulvar squamous carcinomas (tumors less than 2 cm, clinical stage I) regardless of the tumor grade. In larger and more advanced tumors (greater than 2 cm, clinical stages II and III), CK10 is detected very frequently. Expression of CK10 is related to maturation of malignant keratinocytes, being preferentially detected in more-differentiated parts.

Product Properties & Targets

Antibody Type
Host
Mouse
Applications
Species Reactivity
Research Areas
Isotype / Light Chain
IgG1 / Kappa
Cellular Localization
Cell surface, Extracellular space, Secreted
Gene Name
Positive Control
A431, HeLa, MCF7 cells. Esophagus or tonsil.
Immunogen
Recombinant human KRT10 protein
Alternate Names
Keratin, type I cytoskeletal 10, Cytokeratin-10, Keratin-10, BCIE, BIE, EHK, Keratin Type I Cytoskeletal 10, KRT10

Database Links

Entrez Gene ID
SwissProt

Additional Information

Clone
KRT10/844 + KRT10/1275
Chromosome Location
17q21.2
Mol. Weight of Antigen
56.5kDa

Functions

  • Plays a role in the establishment of the epidermal barrier on plantar skin.
  • (Microbial infection) Acts as a mediator of S.aureus adherence to desquamated nasal epithelial cells via clfB, and hence may play a role in nasal colonization.
  • (Microbial infection) Binds S.pneumoniae PsrP, mediating adherence of the bacteria to lung cell lines. Reduction of levels of KRT10 keratin decrease adherence, overexpression increases adherence. Neither protein has to be glycosylated for the interaction to occur.

Key References

  • Ivanyi D, et. al. Journal of Pathology, 1989, 159:7-12.
  • Ivanyi D, et. al. Differentiation, 1989, 42(2):124-9.

Storage & Stability

Antibody with azide - store at 2 to 8°C. Antibody without azide - store at -20 to -80°C. Antibody is stable for 24 months. Non-hazardous. No MSDS required.

Limitations

This antibody is available for research use only and is not approved for use in diagnosis.

Supplied as

200ug/ml of Ab Purified from Bioreactor Concentrate by Protein A/G. Prepared in 10mM PBS with 0.05% BSA & 0.05% azide. Also available WITHOUT BSA & azide at 1.0mg/ml.

Warranty

There are no warranties, expressed or implied, which extend beyond this description. Company is not liable for any personal injury or economic loss resulting from this product.

Reviews

There are no reviews yet.

Be the first to review “Cytokeratin 10 (Suprabasal Epithelial Marker) Antibody”

Your email address will not be published. Required fields are marked *

PARTNERSHIP OPPORTUNITIES

NeoBiotechnologies holds Exclusive rights to 10,000 recombinant and hybridoma antibody products, available for Licensing or Collaboration.

LETS TALK