
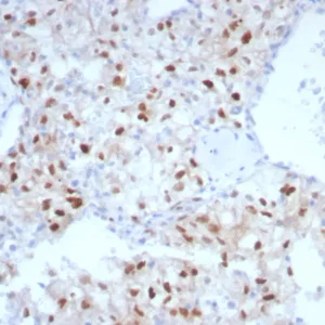
Formalin-fixed, paraffin-embedded human Mantle Cell Lymphoma stained with Cyclin D1 Mouse Monoclonal Antibody (SPM587).

Western Blot Analysis of Cyclin D1 in (1) C2C12, (2) HepG2, & (3) NIH3T3 lysate with Cyclin D1 Ab (SPM587).

Flow cytometric analysis of human Cyclin D1 on Jurkat cells. Black: cells alone; Green: Isotype Control; Red: PE-labeled Cyclin D1 Monoclonal Antibody (SPM587).
Recognizes a protein of 36kDa, identified as cyclin D1. Cyclin D1, one of the key cell cycle regulators, is a putative proto-oncogene overexpressed in a wide variety of human neoplasms. This antibody neutralizes the activity of cyclin D1 in vivo. About 60% of mantle cell lymphomas (MCL) contain a t(11; 14)(q13; q32) translocation resulting in over-expression of cyclin D1. This antibody is useful in identifying mantle cell lymphomas (cyclin D1 positive) from CLL/SLL and follicular lymphomas (cyclin D1 negative). Occasionally, hairy cell leukemia and plasma cell myeloma weakly express Cyclin D1.
There are no reviews yet.