Cyclin A2 (S- & G2-phase Cyclin) Antibody [CCNA2/2333]

In Stock
Catalog Number Formulation Size Price
890-MSM3-P0
Purified Ab with BSA and Azide at 200ug/ml
20ug
$259.00
890-MSM3-P1
Purified Ab with BSA and Azide at 200ug/ml
100ug
$559.00
890-MSM3-P1ABX
Purified Ab WITHOUT BSA and Azide at 1.0mg/ml
100ug
$559.00
Flat Rate Domestic: $95 | Orders outside the US - Contact Us for Order Information | Ships next business day

Applications & Dilutions

Applications Tested Dillution Protocol Note
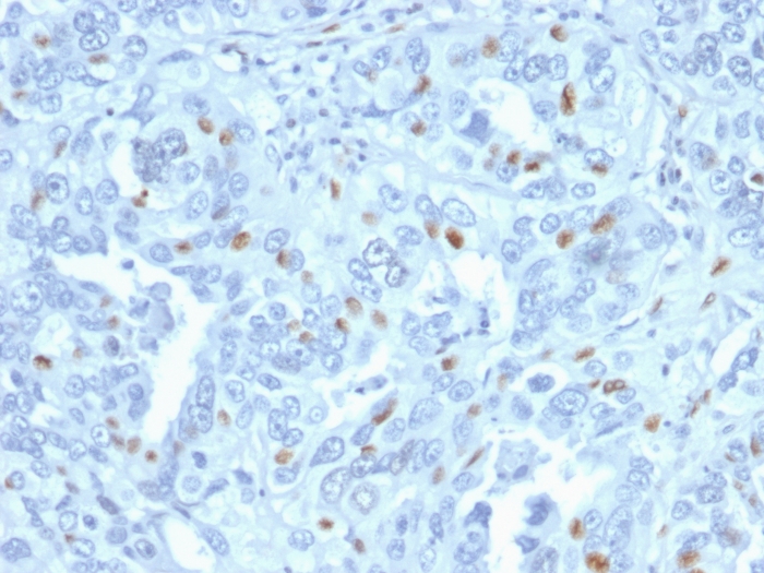
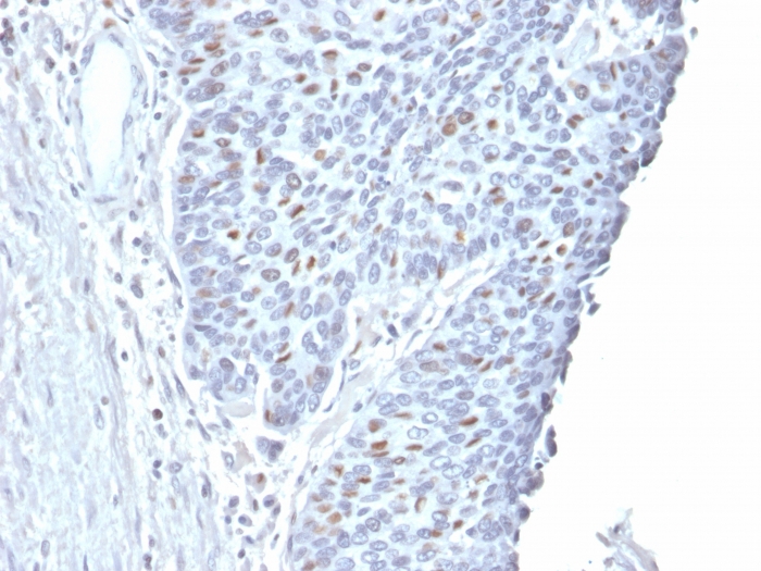
Immunohistochemistry (IHC)
1-2ug/ml
30 min at RT. Staining of formalin-fixed tissues requires heating tissue sections in 10mM Tris with 1mM EDTA, pH 9.0, for 45 min at 95°C followed by cooling at RT for 20 minutes

Summary

It recognizes a protein of 54kDa, which is identified as cyclin A. Its epitope is located amino acids 144-148 of human Cyclin A2. Cyclins are regulatory subunits of the cyclin-dependent kinases (cdk's) and they control transition at different specific phases of the cell cycle. The temporal expression of cyclins is tightly regulated and subsequently plays a critical role in controlling the enzymatic activity of cdk's. These cyclin/cdk complexes are essential for passage through specific stages in the cell cycle. In mammalian somatic cells, cyclin A is required for S-phase and passage through G2-phase. The D and E type cyclins regulate the passage of G1, while cyclin B is a critical regulator of mitosis. Mutation or disruption of normal cyclin A expression causes cells to arrest in G2-phase.

Product Properties & Targets

Antibody Type
Host
Mouse
Applications
Species Reactivity
Isotype / Light Chain
IgG2a / Kappa
Cellular Localization
Cytoplasm, Nucleus
Gene Name
Positive Control
K-562 and HeLa cells; Tonsil.
Immunogen
Full length recombinant Cyclin A2 protein
Alternate Names
Cyclin-A2, Cyclin A, CCN1, CCNA, CCNA2, Cyclin A2

Database Links

Entrez Gene ID
890
SwissProt

Additional Information

Clone
CCNA2/2333
Chromosome Location
4q27
Mol. Weight of Antigen
54kDa

Functions

  • Cyclin which controls both the G1/S and the G2/M transition phases of the cell cycle. Functions through the formation of specific serine/threonine protein kinase holoenzyme complexes with the cyclin-dependent protein kinases CDK1 or CDK2. The cyclin subunit confers the substrate specificity of these complexes and differentially interacts with and activates CDK1 and CDK2 throughout the cell cycle.

Key References

  • Adamczewski JP; Gannon JV; Hunt T. Simian virus 40 large T antigen associates with cyclin A and p33cdk2. Journal of Virology, 1993, 67(11):6551-7.

Storage & Stability

Antibody with azide - store at 2 to 8°C. Antibody without azide - store at -20 to -80°C. Antibody is stable for 24 months. Non-hazardous. No MSDS required.

Limitations

This antibody is available for research use only and is not approved for use in diagnosis.

Supplied as

200ug/ml of Ab Purified from Bioreactor Concentrate by Protein A/G. Prepared in 10mM PBS with 0.05% BSA & 0.05% azide. Also available WITHOUT BSA & azide at 1.0mg/ml.

Warranty

There are no warranties, expressed or implied, which extend beyond this description. Company is not liable for any personal injury or economic loss resulting from this product.

Reviews

There are no reviews yet.

Be the first to review “Cyclin A2 (S- & G2-phase Cyclin) Antibody”

Your email address will not be published. Required fields are marked *

PARTNERSHIP OPPORTUNITIES

NeoBiotechnologies holds Exclusive rights to 10,000 recombinant and hybridoma antibody products, available for Licensing or Collaboration.

LETS TALK