
SDS-PAGE Analysis of Purified Complement 3d Mouse Monoclonal Antibody (C3D/2891). Confirmation of Integrity and Purity of Antibody.

Formalin-fixed, paraffin-embedded human rejected kidney transplant stained with Complement 3d Mouse Monoclonal Antibody (C3D/2891) at 2ug/ml in PBS. HIER: Tris/EDTA, pH9.0, 45min. 2°C: HRP-polymer, 30min. DAB, 5min.

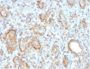
Formalin-fixed, paraffin-embedded human hepatocellular carcinoma stained with Complement 3d Mouse Monoclonal Antibody (C3D/2891) at 2ug/ml. HIER: Tris/EDTA, pH9.0, 45min. 2°C: HRP-polymer, 30min. DAB, 5min.

Analysis of Protein Array containing more than 19,000 full-length human proteins using Complement C3d-Monospecific Mouse Monoclonal Antibody (C3D/2891). Z- and S- Score: The Z-score represents the strength of a signal that a monoclonal antibody (MAb) (in combination with a fluorescently-tagged anti-IgG secondary antibody) produces when binding to a particular protein on the HuProtTM array. Z-scores are described in units of standard deviations (SD's) above the mean value of all signals generated on that array. If targets on HuProtTM are arranged in descending order of the Z-score, the S-score is the difference (also in units of SD's) between the Z-score. S-score therefore represents the relative target specificity of a MAb to its intended target. A MAb is considered to specific to its intended target, if the MAb has an S-score of at least 2.5. For example, if a MAb binds to protein X with a Z-score of 43 and to protein Y with a Z-score of 14, then the S-score for the binding of that MAb to protein X is equal to 29.
The complement component proteins, C2, C3, C4 and C5, are potent anaphylatoxins that are released during complement activation. Binding of these proteins to their respective G protein-coupled receptors, C3aR, C1R and C5aR, induces proinflammatory events, such as cellular degranulation, smooth muscle contraction, arachidonic acid metabolism, cytokine release, leukocyte activation and cellular chemotaxis. C3d is a terminal degradation product of C3 that plays an important role in modulation of the adaptive immune response through the interaction with complement receptor type 2 (CR2). CR2 is important in the switched-isotype, high-affinity and memory humoral immune responses to T-dependent foreign antigens, as well as in the development of the natural antibody repertoire. This pH- and ionic strength-dependent association of C3d with CR2 represents a link between innate and adaptive immunity.
There are no reviews yet.