
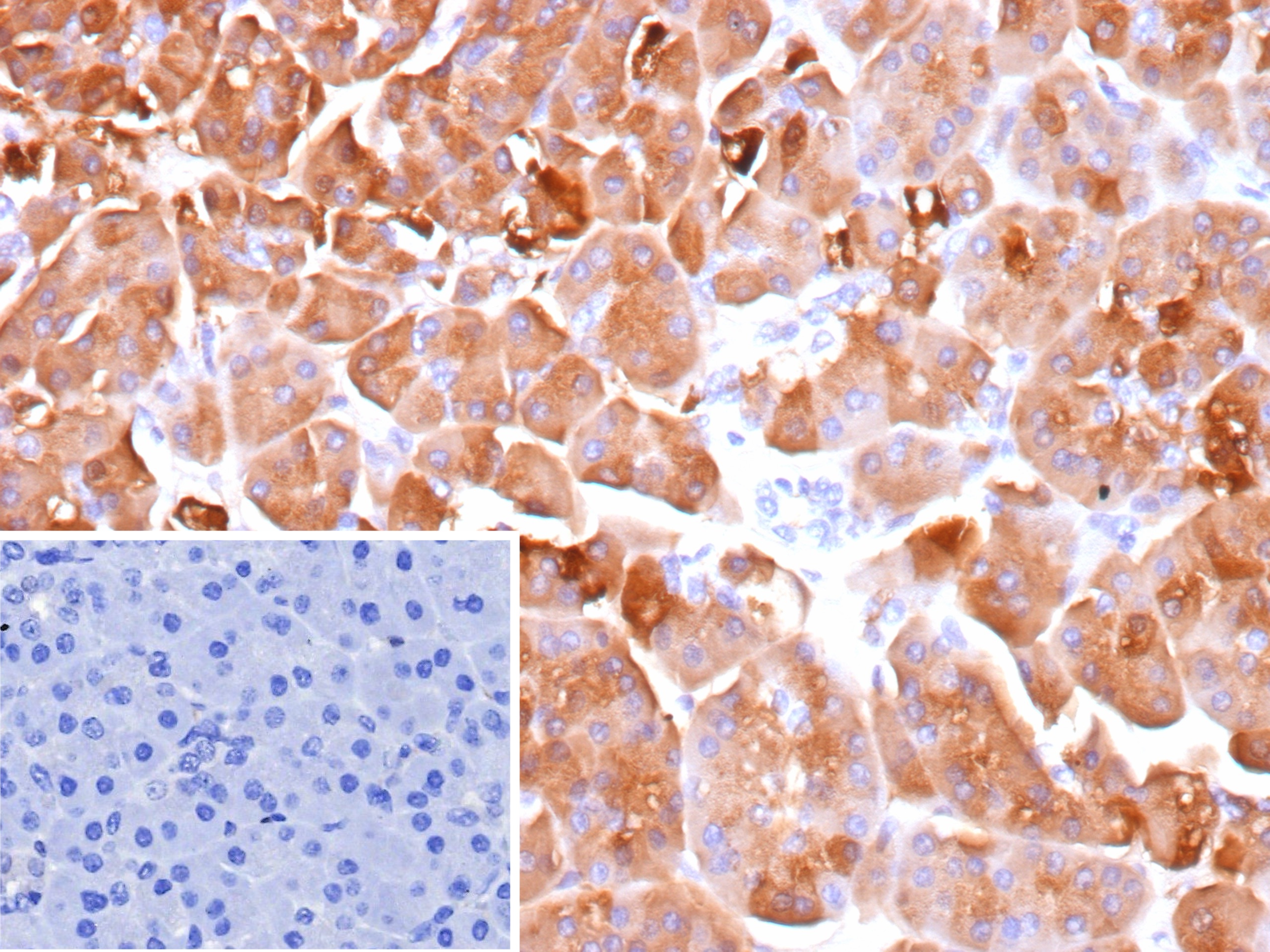
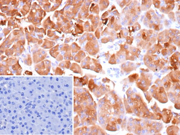
Formalin-fixed, paraffin-embedded human pancreas stained with CELA3A Mouse Monoclonal Antibody (CELA3A/12552). Inset: PBS instead of primary antibody; secondary only negative control.
Elastases belong to a subfamily of serine proteases that function to catalytically hydrolyze a wide variety of proteins. Elastase-3A, also known as ELA3A or ELA3, is a 270 amino acid protein that belongs to the elastase family and acts as an alanine-specific protease. Secreted as a zymogen from the pancreas, Elastase-3A functions as a digestive enzyme in the intestine that participates in metabolic degradation pathways by preferentially cleaving proteins that have alanine residues. In addition, Elastase-3A is thought to play a role in the metabolism and transport of cholesterol molecules in the intestine. Altered expression of Elastase-3A may be associated with pancreatic ductal carcinoma, a highly fatal cancer of the pancreatic ducts
There are no reviews yet.