
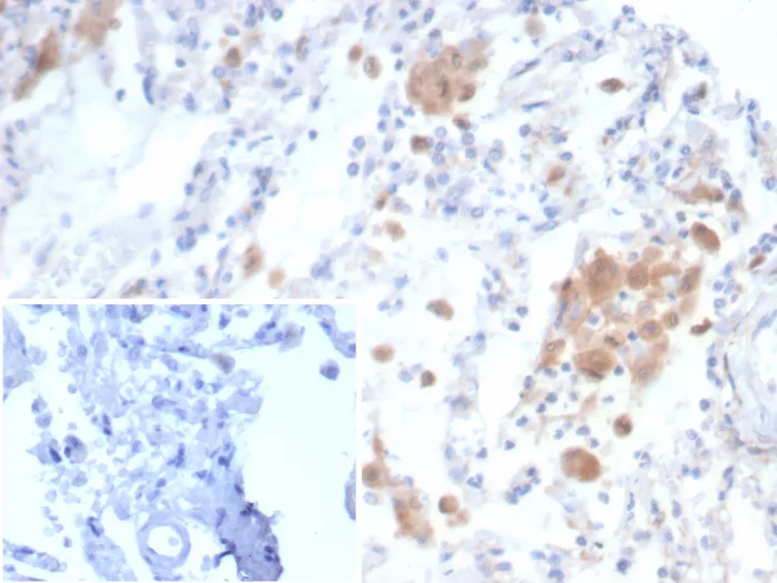
Formalin-fixed, paraffin-embedded human lung stained with CD91 / LRP1 Mouse Monoclonal Antibody (LRP1/6784) Inset: PBS instead of primary antibody; secondary only negative control.

SDS-PAGE Analysis of Purified Prolow-density lipoprotein receptor-related protein 1 | Low-density lipoprotein receptor-related protein 1 85 kDa subunit | Low-density lipoprotein receptor-related protein 1 515 kDa subunit | Low-density lipoprotein receptor-related protein 1 intracellular domain Mouse Monoclonal Antibody (LRP1/6784). Confirmation of Purity and Integrity of Antibody.
Members of the LDL receptor gene family, including LDLR (low density lipoprotein receptor), LEP1 (low density lipoprotein related protein), megalin (also designated GP330), VLDLR (very low density lipoprotein receptor) and apoER2 are characterized by a cluster of cysteine-rich class A repeats, epidermal growth factor (EGF)-like repeats, YWTD repeats and an O-linked sugar domain. LRP1, also designated LRP and α-2-Macroglobulin receptor, is an endocytic receptor that mediates the uptake of at least 15 ligands, including α-2-Macroglobulin and apoE. LRP1 is cleaved into a membrane subunit and an extracellular subunit, which remain non-covalently associated. Proper folding and trafficking of LRP1 is facilitated by the receptor-associated protein (RAP), a molecular chaperone. The uptake of all known ligands through LRP1 can be blocked by RAP, which induces a conformational change in the receptor that renders it unable to bind ligands. LRP1, which is expressed in brain, liver and lung, is also implicated in Alzheimer s disease (AD), as the human LRP gene localizes to a potential AD locus on chromosome 12.
There are no reviews yet.