
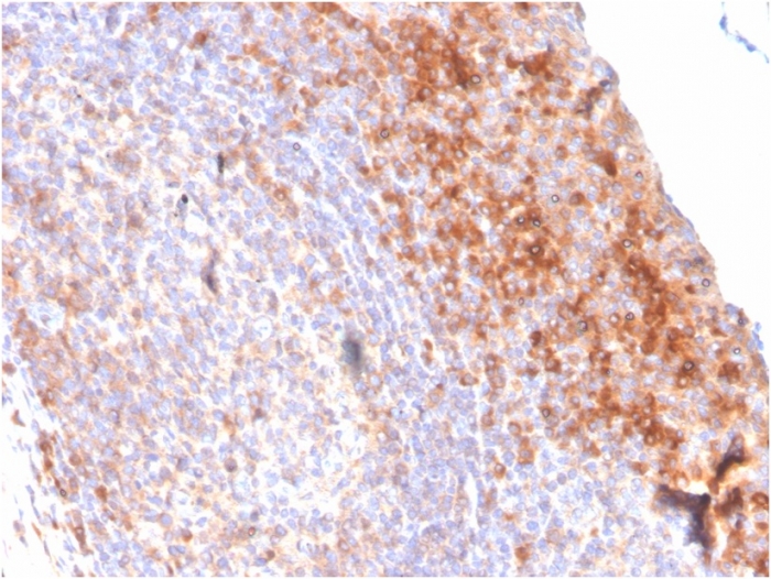
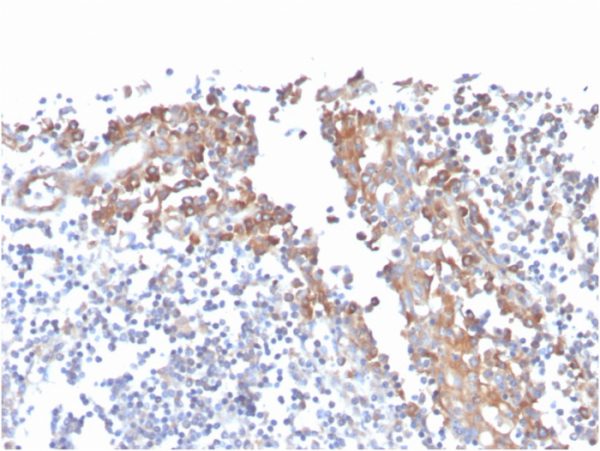
Formalin-fixed, paraffin-embedded human tonsil stained with CD80 Mouse Monoclonal Antibody (C80/3544).

Formalin-fixed, paraffin-embedded human tonsil stained with CD80 Mouse Monoclonal Antibody (C80/3544).

Analysis of Protein Array containing more than 19,000 full-length human proteins using CD80 Mouse Monoclonal Antibody (C80/3544) Z- and S- Score: The Z-score represents the strength of a signal that a monoclonal antibody (MAb) (in combination with a fluorescently-tagged anti-IgG secondary antibody) produces when binding to a particular protein on the HuProtTM array. Z-scores are described in units of standard deviations (SD's) above the mean value of all signals generated on that array. If targets on HuProtTM are arranged in descending order of the Z-score, the S-score is the difference (also in units of SD's) between the Z-score. S-score therefore represents the relative target specificity of a MAb to its intended target. A MAb is considered to specific to its intended target, if the MAb has an S-score of at least 2.5. For example, if a MAb binds to protein X with a Z-score of 43 and to protein Y with a Z-score of 14, then the S-score for the binding of that MAb to protein X is equal to 29.
T cell proliferation and lymphokine production are triggered by occupation of the TCR by antigen, followed by a costimulatory signal that is delivered by a ligand expressed on antigen presenting cells. The B7-related cell surface proteins CD80 (B7-1) and CD86 (B7-2) are expressed on antigen presenting cells bind the homologous T cell receptors CTLA-4 (cytotoxic T lymphocyte-associated protein-4) and CD28 and trigger costimulatory signals for optimal T cell activation. CTLA-4 shares 31% overall amino acid identity with CD28 and it has been proposed that CD28 and CTLA-4 are functionally redundant. SLAM is a novel receptor on T cells that, when engaged, potentiates T cell expansion in a CD28-independent manner. B7, also designated BB1, is another ligand or counter receptor for CD28 and CTLA-4 that is expressed on the antigen-presenting cell.
There are no reviews yet.