CD64 / Fc gamma RI Antibody [FCGR1A/7496]

In Stock
Catalog Number Formulation Size Price
2209-MSM3-P0
Purified Ab with BSA and Azide at 200ug/ml
20ug
$259.00
2209-MSM3-P1
Purified Ab with BSA and Azide at 200ug/ml
100ug
$559.00
2209-MSM3-P1ABX
Purified Ab WITHOUT BSA and Azide at 1.0mg/ml
100ug
$559.00
Flat Rate Domestic: $95 | Orders outside the US - Contact Us for Order Information | Ships next business day

Applications & Dilutions

Applications Tested Dillution Protocol Note
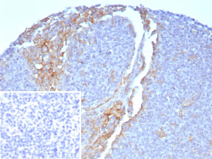
Immunohistochemistry (IHC)
1-2ug/ml
30 min at RT. Staining of formalin-fixed tissues requires heating tissue sections in 10mM Tris with 1mM EDTA, pH 9.0, for 45 min at 95°C followed by cooling at RT for 20 minutes

Summary

Three different classes of IgG Fc receptors have been described: Fc Î � RI (CD64), Fc Î � RII (CD32) and Fc Î � RIII (CD16). The low affinity receptors, CD64 and CD16, have a putative role in mediating humoral immune responses. CD64 is a surface glycoprotein with high affinity for monomeric IgG, is expressed constitutively on monocytes and macrophages, and can be induced in neutrophils subsequent to IFN-Î � stimulation. CD64 plays a putative role in the initiation of cell-mediated cytotoxicity. Thus far, three genes encoding four distinct CD64 transcripts have been described. CD64 has been shown to associate with signal transducing subunit of the high affinity IgE receptor. Src family kinases Hck and Lyn show increased kinase activity and will coimmunoprecipitate with CD64 subsequent to receptor cross linking.

Product Properties & Targets

Antibody Type
Host
Mouse
Applications
Species Reactivity
Isotype / Light Chain
IgG /
Cellular Localization
Cell membrane
Gene Name
Positive Control
Human tonsil or lymph node.
Immunogen
Recombinant fragment (around aa1-200) of human CD64 protein (exact sequence is proprietary)
Alternate Names
High affinity immunoglobulin gamma Fc receptor I, Fc-gamma RI, Fc-gamma RIA, CD64; CD64A; CD64b; CD64c; Fc fragment of IgG, high affinity Ia, receptor (CD64); FCGR1; FCGR1A; FCGR1B; FCGR1C; FcRI; FcRIB; FCRIC; High affinity immunoglobulin gamma Fc receptor IB; IGFR1; IGFRB; IGFRC

Database Links

Entrez Gene ID
SwissProt

Additional Information

Clone
FCGR1A/7496
Chromosome Location
1q21.2
Mol. Weight of Antigen
43kDa

Functions

  • High affinity receptor for the Fc region of immunoglobulins gamma. Functions in both innate and adaptive immune responses. Mediates IgG effector functions on monocytes triggering antibody-dependent cellular cytotoxicity (ADCC) of virus-infected cells.

Key References

  • Townsend, S.M., et al. 2003. Infect. Immun. 71: 5871-5880.

Storage & Stability

Antibody with azide - store at 2 to 8°C. Antibody without azide - store at -20 to -80°C. Antibody is stable for 24 months. Non-hazardous. No MSDS required.

Limitations

This antibody is available for research use only and is not approved for use in diagnosis.

Supplied as

200ug/ml of Ab purified from Bioreactor Concentrate by Protein A/G. Prepared in 10mM PBS with 0.05% BSA & 0.05% azide. Also available WITHOUT BSA & azide at 1mg/ml.

Warranty

There are no warranties, expressed or implied, which extend beyond this description. Company is not liable for any personal injury or economic loss resulting from this product.

Reviews

There are no reviews yet.

Be the first to review “CD64 / Fc gamma RI Antibody”

Your email address will not be published. Required fields are marked *

PARTNERSHIP OPPORTUNITIES

NeoBiotechnologies holds Exclusive rights to 10,000 recombinant and hybridoma antibody products, available for Licensing or Collaboration.

LETS TALK