CD56 / NCAM1 / NKH1 (Neuronal Cell Marker) Antibody [NCAM/7522]

In Stock
Catalog Number Formulation Size Price
4684-MSM22-P0
Purified Ab with BSA and Azide at 200ug/ml
20ug
$259.00
4684-MSM22-P1
Purified Ab with BSA and Azide at 200ug/ml
100ug
$559.00
4684-MSM22-P1ABX
Purified Ab WITHOUT BSA and Azide at 1.0mg/ml
100ug
$559.00
Flat Rate Domestic: $95 | Orders outside the US - Contact Us for Order Information | Ships next business day

Applications & Dilutions

Applications Tested Dillution Protocol Note
Immunohistochemistry (IHC)
1-2ug/ml
30 min at RT. Staining of formalin-fixed tissues requires heating tissue sections in 10mM Tris with 1mM EDTA, pH 9.0, for 45 min at 95°C followed by cooling at RT for 20 minutes

Summary

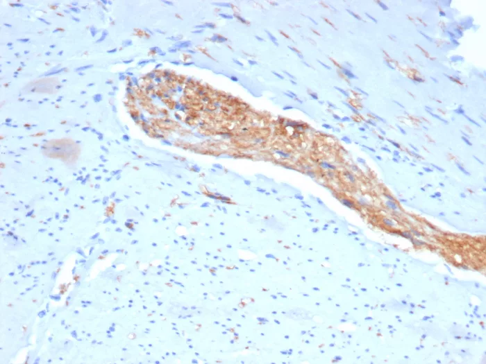
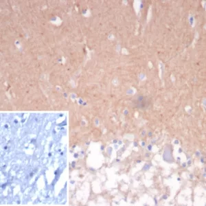
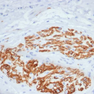
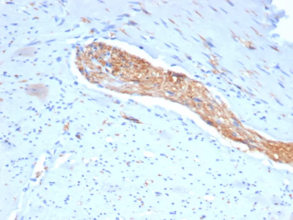
This MAb reacts with an extracellular domain (close to transmembrane) of CD56/NCAM. Three isoforms of neural cell adhesion molecule (NCAM) are produced by differential splicing of the RNA transcript from a single gene. The 135kDa isoform is the basic molecule, which is glycosylated or sialylated to produce the mature species. Anti-CD56 recognizes two proteins of the neural cell adhesion molecule, the basic molecule expressed on most neuroectodermally derived tissues and neoplasms (e.g. retinoblastoma, medulloblastomas, astrocytomas, neuroblastomas, and small cell carcinomas). It is also expressed on some mesodermally derived tumors (rhabdomyosarcoma). Anti-CD56 plays an important role in the diagnosis of nodal and nasal NK/T-cell lymphomas.

Product Properties & Targets

Antibody Type
Host
Mouse
Applications
Species Reactivity
Isotype / Light Chain
IgG1 / Kappa
Cellular Localization
Cell surface
Gene Name
Positive Control
Human cerebellum|pancreas or neuroblastoma.
Immunogen
Recombinant fragment (around aa400-650) of human NCAM1 protein (exact sequence is proprietary)
Alternate Names
Neural cell adhesion molecule 1, NCAM, Leu-19, NKH1, MSK39, NCAM120, NCAM140, NCAM180, Neural Cell Adhesion Molecule

Database Links

Entrez Gene ID
SwissProt

Additional Information

Clone
NCAM/7522
Chromosome Location
11q23.1
Mol. Weight of Antigen
145 and 125kDa|180

Functions

  • This protein is a cell adhesion molecule involved in neuron-neuron adhesion, neurite fasciculation, outgrowth of neurites, etc.
  • (Microbial infection) Acts as a receptor for rabies virus.
  • (Microbial infection) Acts as a receptor for Zika virus.

Key References

  • Gerardy-Schahn R; et. al. Int Journal of Cancer. Supplement, 1994, 8:38-42.
  • Michalides R; et. al. International Journal of Cancer. Supplement, 1994, 8:34-7.
  • K. Moolenaar et al. Cancer Research 50, 1102-1106, 1990
  • Schol DJ; et. al. Int J Cancer. Supplement, 1988, 2:34-40

Storage & Stability

Antibody with azide - store at 2 to 8°C. Antibody without azide - store at -20 to -80°C.Antibody is stable for 24 months. Non-hazardous. No MSDS required.

Limitations

This antibody is available for research use only and is not approved for use in diagnosis.

Supplied as

200ug/ml of Ab purified from Bioreactor Concentrate by Protein A/G. Prepared in 10mM PBS with 0.05% BSA & 0.05% azide. Also available WITHOUT BSA & azide at 1.0mg/ml.

Warranty

There are no warranties, expressed or implied, which extend beyond this description. Company is not liable for any personal injury or economic loss resulting from this product.

Reviews

There are no reviews yet.

Be the first to review “CD56 / NCAM1 / NKH1 (Neuronal Cell Marker) Antibody”

Your email address will not be published. Required fields are marked *

PARTNERSHIP OPPORTUNITIES

NeoBiotechnologies holds Exclusive rights to 10,000 recombinant and hybridoma antibody products, available for Licensing or Collaboration.

LETS TALK