Recombinant CD45 / LCA (B-Cell Marker) Antibody [rPTPRC/1147]

In Stock
Catalog Number Formulation Size Price
5788-MSM46-P0
Purified Ab with BSA and Azide at 200ug/ml
20ug
$259.00
5788-MSM46-P1
Purified Ab with BSA and Azide at 200ug/ml
100ug
$559.00
5788-MSM46-P1ABX
Purified Ab WITHOUT BSA and Azide at 1.0mg/ml
100ug
$559.00
Flat Rate Domestic: $95 | Orders outside the US - Contact Us for Order Information | Ships next business day

Applications & Dilutions

Applications Tested Dillution Protocol Note
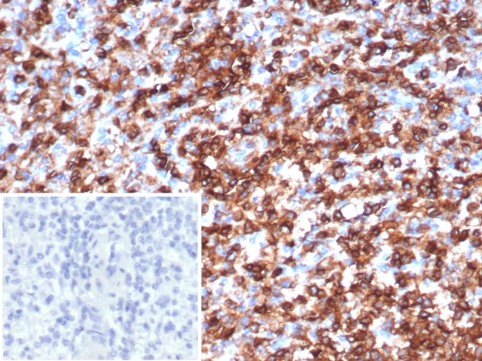
Immunohistochemistry (IHC)
1-2ug/ml
30 min at RT. Staining of formalin-fixed tissues requires heating tissue sections in 10mM Tris with 1mM EDTA, pH 9.0, for 45 min at 95°C followed by cooling at RT for 20 minutes
Western Blot (WB)
2-4ug/ml

Summary

CD45R, also designated CD45 and PTPRC, has been identified as a transmembrane glycoprotein, broadly expressed among hematopoietic cells. Multiple isoforms of CD45R are distributed throughout the immune system according to cell type. These isoforms arise because of alternative splicing of exons 4, 5, and 6. The corresponding protein domains are characterized by the binding of monoclonal antibodies specific for CD45RA (exon 4), CD45RB (exon 5), CD45RC (exon 6) and CD45RO (exons 4 to 6 spliced out). The variation in these isoforms is localized to the extracellular domain of CD45R, while the intracellular domain is conserved. CD45R functions as a phosphor-tyrosine phosphatase. Antibody to CD45 is useful in differential diagnosis of lymphoid tumors from non-hematopoietic undifferentiated neoplasms.

Product Properties & Targets

Host
Mouse
Species Reactivity
Isotype / Light Chain
IgG1 / Kappa
Cellular Localization
Cell Surface. Cytoplasm.
Gene Name
Positive Control
Jurkat|Ramos|U-698 or GA-10 cells. Human tonsil.
Immunogen
Recombinant full-length human PTPRC protein
Alternate Names
Receptor-type tyrosine-protein phosphatase C, Leukocyte common antigen, T200, B220, CD45R, GP180, Leukocyte common antigen (LCA), Loc, Ly-5, Lyt-4, Protein tyrosine phosphatase receptor type C (PTPRC), Receptor-type tyrosine-protein phosphatase C, T200 glycoprotein

Database Links

Entrez Gene ID
SwissProt

Additional Information

Clone
rPTPRC/1147
Chromosome Location
1q31.3
Mol. Weight of Antigen
180-220kDa

Functions

  • Protein tyrosine-protein phosphatase required for T-cell activation through the antigen receptor. Acts as a positive regulator of T-cell coactivation upon binding to DPP4. The first PTPase domain has enzymatic activity, while the second one seems to affect the substrate specificity of the first one. Upon T-cell activation, recruits and dephosphorylates SKAP1 and FYN. Dephosphorylates LYN, and thereby modulates LYN activity (By similarity).
  • (Microbial infection) Acts as a receptor for human cytomegalovirus protein UL11 and mediates binding of UL11 to T-cells, leading to reduced induction of tyrosine phosphorylation of multiple signaling proteins upon T-cell receptor stimulation and impaired T-cell proliferation.

Key References

  • Gatter KC et. al. Lancet, 1985 Jun 8, 1(8441):1302-5.
  • Michie SA et. al. American Journal of Clinical Pathology, 1987, 88(4):457-62.

Storage & Stability

Antibody with azide - store at 2 to 8°C. Antibody without azide - store at -20 to -80°C. Antibody is stable for 24 months. Non-hazardous. No MSDS required.

Limitations

This antibody is available for research use only and is not approved for use in diagnosis.

Supplied as

200ug/ml of Ab purified from Bioreactor Concentrate by Protein A/G. Prepared in 10mM PBS with 0.05% BSA & 0.05% azide. Also available WITHOUT BSA & azide at 1.0mg/ml.

Warranty

There are no warranties, expressed or implied, which extend beyond this description. Company is not liable for any personal injury or economic loss resulting from this product.

Reviews

There are no reviews yet.

Be the first to review “Recombinant CD45 / LCA (B-Cell Marker) Antibody”

Your email address will not be published. Required fields are marked *

PARTNERSHIP OPPORTUNITIES

NeoBiotechnologies holds Exclusive rights to 10,000 recombinant and hybridoma antibody products, available for Licensing or Collaboration.

LETS TALK