
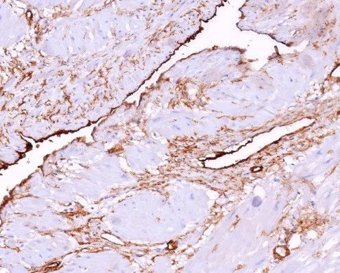
Formalin-fixed, paraffin-embedded human uterus stained with CD34 Mouse Monoclonal Antibody (CD34/7721). HIER: Tris/EDTA, pH9.0, 45min. 2°C: HRP-polymer, 30min. DAB, 5min.

Formalin-fixed, paraffin-embedded human placenta stained with CD34 Mouse Monoclonal Antibody (CD34/7721) at 2ug/ml RT. Inset: PBS instead of primary antibody; secondary only negative control.

Formalin-fixed, paraffin-embedded human tonsil stained with CD34 Mouse Monoclonal Antibody (CD34/7721). Inset: PBS instead of primary antibody; secondary only negative control.

SDS-PAGE Analysis of Purified CD34 Mouse Monoclonal Antibody(CD34/7721). Confirmation of Purity and Integrity of Antibody
This MAb recognizes a single chain, transmembrane, heavily glycosylated protein of 90-120kDa, which is identified as CD34. On the basis of differential sensitivity to degradation by specific enzymes, epitopes of monoclonal antibodies to CD34 are classified into �three main categories, class I, class II and class III. It is a class II antibody whose epitope is resistant to neuraminidase but sensitive to glycoprotease and chymopapain. �CD34 expression is a hallmark for identifying pluripotent hematopoietic stem or progenitor cells. Its expression is gradually lost as lineage committed progenitors differentiate. CD34 is a marker of choice for staining blasts in acute myeloid leukemia. In addition, CD34 is expressed by soft tissue tumors, such as solitary fibrous tumor and gastrointestinal stromal tumor. Its expression is also found in vascular endothelium. It appears that proliferating endothelial cells express this molecule more than the non-proliferating endothelial cells. Anti-CD34 labels > 85% of angiosarcoma and Kaposi s sarcoma, but with a lower specificity.
There are no reviews yet.