
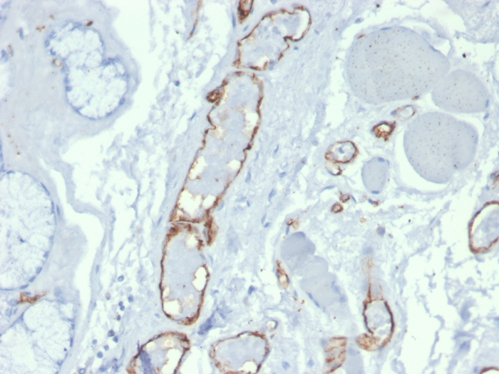
Formalin-fixed, paraffin-embedded human prostate stained with CD31 Mouse Monoclonal Antibody (PECAM1/3527).

Formalin-fixed, paraffin-embedded human prostate stained with CD31 Mouse Monoclonal Antibody (PECAM1/3527).

Formalin-fixed, paraffin-embedded human prostate stained with CD31 Mouse Monoclonal Antibody (PECAM1/3527).

Formalin-fixed, paraffin-embedded human tonsil stained with Purified CD31 Mouse Monoclonal Antibody (PECAM1/3527).

Flow Cytometric Analysis of Jurkat cells using CD31 Mouse Monoclonal Antibody (PECAM1/3527) followed by goat anti-Mouse IgG-CF488 (Blue); Isotype Control (Red).
CD31 (PECAM-1) is a transmembrane glycoprotein member of the immunoglobulin supergene family of adhesion molecules. CD31 is expressed by stem cells of the hematopoietic system and is primarily used to identify and concentrate these cells for experimental studies as well as for bone marrow transplantation. Anti-CD31 has shown to be highly specific and sensitive for vascular endothelial cells. Staining of nonvascular tumors (excluding hematopoietic neoplasms) is rare. CD31 MAb reacts with normal, benign, and malignant endothelial cells which make up blood vessel lining. The level of CD31 expression can help to determine the degree of tumor angiogenesis, and a high level of CD31 expression may imply a rapidly growing tumor and potentially a predictor of tumor recurrence.
There are no reviews yet.