
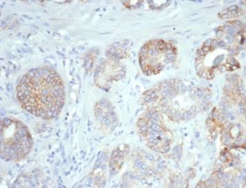
Formalin-fixed, paraffin-embedded human ovarian carcinoma stained with CD276 / B7-H3 Mouse Monoclonal Antibody (B7H3/4345) at 2ug/ml. HIER: Tris/EDTA, pH9.0, 45min. 2°C: HRP-polymer, 30min. DAB, 5min.

Formalin-fixed, paraffin-embedded human ovarian carcinoma stained with CD276 / B7-H3 Mouse Monoclonal Antibody (B7H3/4345) at 2ug/ml. HIER: Tris/EDTA, pH9.0, 45min. 2°C: HRP-polymer, 30min. DAB, 5min.

Analysis of Protein Array containing more than 19,000 full-length human proteins using CD276 / B7-H3 Monospecific Mouse Monoclonal Antibody (B7H3/4345). Z- and S- Score: The Z-score represents the strength of a signal that a monoclonal antibody (MAb) (in combination with a fluorescently-tagged anti-IgG secondary antibody) produces when binding to a particular protein on the HuProtTM array. Z-scores are described in units of standard deviations (SD's) above the mean value of all signals generated on that array. If targets on HuProtTM are arranged in descending order of the Z-score, the S-score is the difference (also in units of SD's) between the Z-score. S-score therefore represents the relative target specificity of a MAb to its intended target. A MAb is considered to specific to its intended target, if the MAb has an S-score of at least 2.5. For example, if a MAb binds to protein X with a Z-score of 43 and to protein Y with a Z-score of 14, then the S-score for the binding of that MAb to protein X is equal to 29.
T cell activation and immune function are regulated by the innate immune system through positive and negative costimulatory molecules. One such molecule, B7-H3 (B7-homolog 3, also designated B7RP-2) belongs to the B7 immunoglobulin superfamily. Soluble B7-H3 binds a putative receptor on activated T-cells that is distinct from CD28, CTLA-4, ICOS and PD-1. Widely expressed on nonlymphoid tissues, B7-H3 costimulates proliferation of both CD4+ and CD8+ T cells. The ability of B7-H3 to stimulate Th1 and cytotoxic-T cell responses suggest that it may have antitumor activity. B7-H3 interactions may play a role in regulating cell-mediated immune responses against cancer, implicating B7-H3 as a potential therapeutic tool.
There are no reviews yet.