
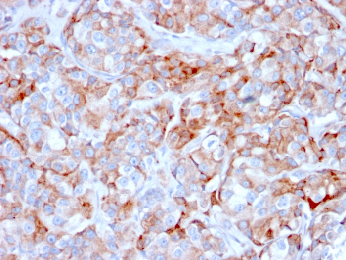
Formalin-fixed, paraffin-embedded human gastric carcinoma stained with CD269 / TNFRSF17 Mouse Monoclonal Antibody (BCMA/2366).

Formalin-fixed, paraffin-embedded human gastric carcinoma stained with CD269 / TNFRSF17 Mouse Monoclonal Antibody (BCMA/2366).

SDS-PAGE Analysis of Purified CD269 / TNFRSF17 Mouse Monoclonal Antibody (BCMA/2366). Confirmation of Purity and Integrity of Antibody.

Analysis of Protein Array containing more than 19,000 full-length human proteins using CD269 Mouse Monoclonal Antibody (BCMA/2366) Z- and S- Score: The Z-score represents the strength of a signal that a monoclonal antibody (MAb) (in combination with a fluorescently-tagged anti-IgG secondary antibody) produces when binding to a particular protein on the HuProtTM array. Z-scores are described in units of standard deviations (SD's) above the mean value of all signals generated on that array. If targets on HuProtTM are arranged in descending order of the Z-score, the S-score is the difference (also in units of SD's) between the Z-score. S-score therefore represents the relative target specificity of a MAb to its intended target. A MAb is considered to specific to its intended target, if the MAb has an S-score of at least 2.5. For example, if a MAb binds to protein X with a Z-score of 43 and to protein Y with a Z-score of 14, then the S-score for the binding of that MAb to protein X is equal to 29.
The B cell maturation protein (BCMA) is a type I integral membrane protein that belongs to the tumor necrosis factor receptor (TNF-R) superfamily. It is expressed as a 184 amino acid peptide that is expressed only in mature B-lymphocytes and is located on the cis part of the Golgi apparatus. BCMA shares significant homology with TACI (transmembrane activator) within the cysteine-rich domain. TACI has been shown to bind CAML, which induces activation of NFAT (nuclear factor of activated T cells). Both BCMA and TACI have been shown to bind APRIL and TALL-1, which stimulate B cell proliferation in conjunction with other B-cell activators. When overexpressed, TALL-1 stimulates the development of systemic lupus erythaematosus (SLE).
There are no reviews yet.