
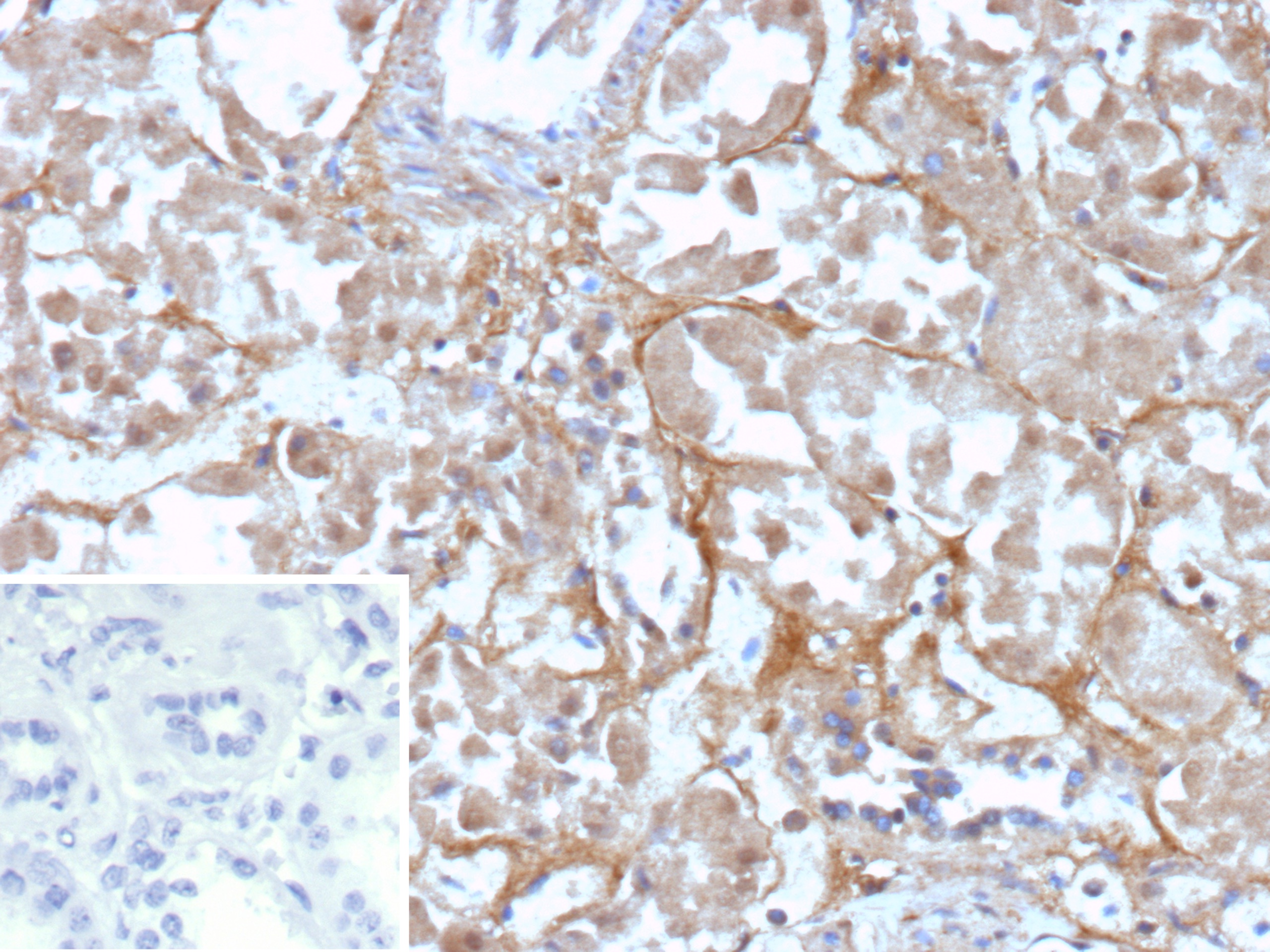
Formalin-fixed, paraffin-embedded human renal cell carcinoma stained with CD200R1 Recombinant Rabbit Monoclonal Antibody (CD200R1/9919R). Inset: PBS instead of primary antibody; secondary only negative control.
OX2 (CD200, MOX2), a member of the immunoglobulin superfamily (IgSF), is a 248 residue cell surface glycoprotein that is expressed in lymphoid cells, neurons and endothelium. OX2 receptor (OX2R) is a membrane protein with up to 70% of its weight derived from N-linked glycosylation; it is primarily expressed in lymphoid and neuronal tissue. Phylogenetic analysis of OX2R with respect to other leukocyte IgSF glycoproteins suggests that OXR2 and OX2 share a common ancestral protein. The cytoplasmic portion of OX2R contains NPXY motifs that are known to interact with PTB/PID binding domains. The interaction between OX2 and OX2R may contribute to pathways that suppress and limit macrophage induced inflammatory damage in tissue.
There are no reviews yet.